๋กœ๋ด‡์˜ ๋ˆˆ์ด ์Šค์Šค๋กœ ์ƒ๊ฐ๋„ ํ•˜๋Š” ๋‰ด๋กœ๋ชจํ”ฝ ๋น„์ „..
๋น› ๊ฐ์ง€์™€ ์—ฐ์‚ฐ์„ ํ•œ ๊ธฐํŒ์—์„œ ํ•ด๊ฒฐํ•˜๋Š” ์ธ-์„ผ์‹ฑ ์ปดํ“จํŒ… ์†Œ์ž ๊ฐœ๋ฐœCES 2026์—์„œ ์„ ๋ณด์—ฌ์ง„ ํœด๋จธ๋…ธ์ด๋“œ ๋กœ๋ด‡ ์•„ํ‹€๋ผ์Šค ?ํ˜„๋Œ€์ž๋™์ฐจ๊ทธ๋ฃน์ง€๋‚œ 1์›” ๋ฏธ๊ตญ ๋ผ์Šค๋ฒ ์ด๊ฑฐ..
์†Œ๊ธˆ ํ•œ ์•Œ๋ณด๋‹ค ์ž‘์€ ๋กœ๋ด‡์ด โ€˜์ƒ๊ฐโ€™์„ ์‹œ์ž‘ํ•˜..
๋ฏธ๊ตญ ํŽœ์‹ค๋ฒ ๋‹ˆ์•„๋Œ€ ์—ฐ๊ตฌํŒ€, CMOS ์นฉ์œผ๋กœ ๋งŒ๋“  ์™„์ „์ž์œจ ์ง€๋Šฅํ˜• ๋งˆ์ดํฌ๋กœ๋ด‡ ๊ฐœ๋ฐœ์ฝ˜ํ…์ธ  ํฐํŠธ ์‚ฌ์ด์ฆˆ ์กฐ์ ˆsns๊ณต์œ ํ•˜๊ธฐํ”„๋ฆฐํŠธ์ถœ๋ ฅํ•˜๊ธฐ๊ณต์ƒ๊ณผํ•™ ์˜ํ™”์—์„œ๋‚˜ ๋ดค์Œ ..
์นจํŒฌ์ง€๋„ ํž˜๋“ค๋• ๋ชจ์—ฌ์„œ ์Œ์ฃผ๋ฅผ ํ•œ๋‹ค
์ธ๊ฐ„์˜ ์•Œ์ฝ”์˜ฌ ๋ฌธํ™”๋Š” ์ง„ํ™”์˜ ์‚ฐ๋ฌผ์ผ๊นŒ?์นจํŒฌ์ง€์˜ ์ผ์ƒ์ ์ธ ์•Œ์ฝ”์˜ฌ ์„ญ์ทจ์ธ๊ฐ„์ด ์ˆ ์„ ๋งˆ์‹œ๋Š” ํ–‰์œ„๋Š” ๋‹จ์ˆœํ•œ ๋ฌธํ™”์  ํ˜„์ƒ์ผ๊นŒ, ์•„๋‹ˆ๋ฉด ์ƒ๋ฌผํ•™์  ์ง„ํ™”์˜ ์‚ฐ๋ฌผ์ผ..
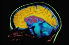
๋‡Œ๋Š” ์ง€์†์ ์œผ๋กœ ์ž๊ธฐ ์ž์‹ ์„ \'๋จน์–ด์น˜์šฐ๊ณ \' ์žˆ..
[๊ณผํ•™์ด ๋ฐํ˜€๋‚ธ 101๊ฐ€์ง€ ๋†€๋ผ์šด ์‚ฌ์‹ค๋“ค] ๋‡Œ๋Š” ์ง€์†์ ์œผ๋กœ ์ž๊ธฐ ์ž์‹ ์„ '๋จน์–ด์น˜์šฐ๊ณ ' ์žˆ๋‹ค๊ณผํ•™์ด ์„ ์‚ฌํ•˜๋Š” ๊ฒฝ์ด๋กœ์šด ์„ธ๊ณ„ (3)?์ธ์ฒด์˜ ๋†€๋ผ์šด ๋น„๋ฐ€๋“ค: ๊ณผํ•™์ด ๋ฐํ˜€..
๋ฐ”๋‹ท๋ฌผ์— ๋…น๋Š” ํ”Œ๋ผ์Šคํ‹ฑ ๋‚˜์™”๋‹ค.
โ€œ๋ฐ”๋‹ค๊ฑฐ๋ถ์•„ ์•ˆ์‹ฌํ•ดโ€โ€ฆ๋ฐ”๋‹ท๋ฌผ์— ๋…น๋Š” ํ”Œ๋ผ์Šคํ‹ฑ ๋‚˜์™”๋‹ค.์–‡์€ ์กฐ๊ฐ์˜ ๊ฒฝ์šฐ 10์ผ ๋งŒ์— ๋ถ„ํ•ดโ€ฆํšŒ์ˆ˜ํ•ด ์žฌํ™œ์šฉ๋„ ๊ฐ€๋Šฅ๋•…์€ ๋ฌผ๋ก  ๋ฐ”๋‹ท๋ฌผ์—๋„ ๋…น๋Š” ์ƒˆ๋กœ์šด ํ”Œ๋ผ์Šค..
AI๋กœ ์ƒ์กด์œจ 100%, ๋ฑ€๋… ํ•ด๋…์ œ ๋งŒ๋“ค์—ˆ๋‹ค.
โ–ฒ ์ธ๊ณต์ง€๋Šฅ(AI)์œผ๋กœ ์„ค๊ณ„ํ•œ ์ƒˆ๋กœ์šด ๋ฑ€ ํ•ด๋… ๋ฌผ์งˆ์ด ๋‚˜์™”๋‹ค. ๊ธฐ์กด ์น˜๋ฃŒ์ œ๋ณด๋‹ค ํšจ๊ณผ๊ฐ€ ์ข‹๊ณ , ๊ฐ€๊ฒฉ๋„ ์ €๋ ดํ•  ๊ฒƒ์œผ๋กœ ์˜ˆ์ƒ๋œ๋‹ค. ?์›Œ์‹ฑํ„ด๋Œ€์„ธ๊ณ„๋ณด๊ฑด๊ธฐ๊ตฌ(WHO)์— ๋”ฐ๋ฅด..
๋˜‘๋˜‘ํ•œ โ€˜๊ฐ„ํ—์  ๋‹จ์‹โ€™, ๊ฑด๊ฐ•๊ณผ ๋‹ค์ด์–ดํŠธ์— ํšจ..
์‹œ๊ฐ„๋Œ€๋ณ„ ์‹์‚ฌ ์œ ํ˜• ๋ถ„์„ ๊ฒฐ๊ณผ, ์˜ค์ „ ์‹์‚ฌ ํ›„ ๊ฐ„ํ—์  ๋‹จ์‹์ด ์ฒด์ค‘ ๊ฐ๋Ÿ‰ ํšจ๊ณผ ๋†’์•„์ƒˆํ•ด ๋ชฉํ‘œ๋กœ ๊ฑด๊ฐ•ํ•œ ๋‹ค์ด์–ดํŠธ๋ฅผ ๊ณ„ํšํ•˜๊ณ  ์žˆ๋‹ค๋ฉด โ€˜์‹œ๊ฐ„โ€™์„ ์กฐ์ ˆํ•ด ๋ณด๋Š” ๊ฑด ..
ํ•ญ์ƒ์ œ ๋‚ด์„ฑ, AI๋กœ ๊ทน๋ณตํ•œ๋‹ค
์ธ๊ณต์ง€๋Šฅ ๊ธฐ์ˆ ์ด ํ•ญ์ƒ์ œ ๋‚ด์„ฑ ๋ฌธ์ œ ํ•ด๊ฒฐ์˜ ๋ŒํŒŒ๊ตฌ๊ฐ€ ๋  ์ˆ˜ ์žˆ๋‹ค?ํ•ญ์ƒ์ œ ๋‚ด์„ฑ์ด๋ž‘?ํ•ญ์ƒ์ œ ๋‚ด์„ฑ์œผ๋กœ ์ธํ•œ ๊ฐ์—ผ์œผ๋กœ ๋งค๋…„ ์ž๊ทธ๋งˆ์น˜ ์ˆ˜๋ฐฑ๋งŒ ๋ช…์ด ์‚ฌ๋งํ•˜๊ณ  ์žˆ๋‹ค๋Š”..
DNA ์ปดํ“จํ„ฐ ๊ณ„์˜ โ€˜์—๋‹ˆ์•…โ€™ ๋“ฑ์žฅ
์ง€์šฐ๊ฐœ ํฌ๊ธฐ DNA ์ €์žฅ ์žฅ์น˜์— ์ˆ˜์ฒœ ๋Œ€ ๋…ธํŠธ๋ถ ์šฉ๋Ÿ‰ ๋ฐ์ดํ„ฐ ์ €์žฅ ๊ฐ€๋Šฅโ€˜์ด์•Œ๋ณด๋‹ค ๋น ๋ฅธ ๊ณ„์‚ฐ๊ธฐ์˜ ๋“ฑ์žฅโ€™1946๋…„ ๋ฏธ๊ตญ ํŽœ์‹ค๋ฒ ๋‹ˆ์•„๋Œ€์—์„œ ๋ฌด๊ฒŒ 30t(ํ†ค)์˜ ๊ฑฐ๋Œ€ํ•œ ๊ธฐ๊ณ„..
์„ธ๊ท ์€ ํ™˜๊ฒฝ์  ๋ณ€ํ™”๋ฅผ โ€˜๊ธฐ์–ตโ€™์œผ๋กœ ๋Œ€๋ฌผ๋ฆผํ•œ..
์งง๊ณ  ์ผ์‹œ์ ์ธ โ€˜๊ธฐ์–ตโ€™์„ ๋„คํŠธ์›Œํฌ์— ์ €์žฅํ•ด, ์œ ์ „์ž DNA์— ์ธ์ฝ”๋”ฉ๋˜์–ด ์ „๋‹ฌ๋œ๋‹ค๋Š” ๊ธฐ์กด์˜ ๊ฐ€์„ค์„ ๋’ค์ง‘์–ด์ง€๊ตฌ์ƒ์—๋Š” ์•ฝ 5์ฒœ์–ต์—์„œ 1์กฐ ๊ฐœ์˜ ์„ธ๊ท ์ด ์กด์žฌํ•˜๋Š” ..
์น™์น™ํญํญ โ€˜์„ธํฌ ๊ธฐ์ฐจโ€™ ๋‹ฌ๋ ค๊ฐ‘๋‹ˆ๋‹ค.
๊ธฐ์ฐจ์ฒ˜๋Ÿผ ์ค„์ง€์–ด ์›€์ง์ด๋Š” ์„ธํฌ์˜ ์›€์ง์ž„ ํฌ์ฐฉ์ƒ์ฒ˜๊ฐ€ ์ƒ๊ธฐ๋ฉด ์†์ƒ์„ ๋ณต๊ตฌํ•˜๊ธฐ ์œ„ํ•œ ์„ธํฌ๊ฐ€ ์žฌ๋น ๋ฅด๊ฒŒ ์›€์ง์ธ๋‹ค. ๊ฑด๊ฐ• ๋ถˆ์ฒญ๊ฐ์ธ ์•”์„ธํฌ๋Š” ํ˜ˆ๊ด€์œผ๋กœ ๊ธฐ์–ด๊ฐ€ ์ธ..
๋‹จ๋ฐฑ์งˆ ์‹ํ’ˆ ๋ํŒ์™• โ€˜์‡ ๊ณ ๊ธฐ ์Œ€โ€™
์ด ๋ถ‰์€ ์Œ€์˜ ์ •์ฒด๋Š”? ๋‹จ๋ฐฑ์งˆ ์‹ํ’ˆ ๋ํŒ์™• โ€˜์‡ ๊ณ ๊ธฐ ์Œ€โ€™๊ตญ๋‚ด ์—ฐ๊ตฌ์ง„, ์Œ€๊ณผ ์†Œ์˜ ์ค„๊ธฐ์„ธํฌ ๊ฒฐํ•ฉํ•œ ํ•˜์ด๋ธŒ๋ฆฌ๋“œ ์‹ํ’ˆ ๊ฐœ๋ฐœโ–ฒ ํ™์ง„๊ธฐ ์—ฐ์„ธ๋Œ€ ํ™”๊ณต์ƒ๋ช…๊ณตํ•™๊ณผ ๊ต..
์‹ ๊ฒฝ์„ธํฌ๋ณด๋‹ค ๋” ์‹ ๊ฒฝ ์จ์•ผ ํ•˜๋Š” ์„ธํฌ, ์‹ ๊ฒฝ๊ต..
์–ด๋””์—์„œ๋„ ์•Œ๋ ค์ฃผ์ง€ ์•Š์€ ์‹ ๊ฒฝ๊ต์„ธํฌ์™€ ๊ด€๋ จ๋œ ๋†€๋ผ์šด ์ด์•ผ๊ธฐ๋“ค์˜ค๋žœ ์‹œ๊ฐ„ ์†Œ์™ธ๋‹นํ–ˆ๋˜ ์‹ ๊ฒฝ๊ต์„ธํฌโ€˜์‹ ๊ฒฝ๊ต์„ธํฌโ€™์˜ ์—ฐ๊ตฌ ์—ญ์‚ฌ๋Š” ๋น„๊ต์  ์˜ค๋ž˜๋˜์ง€ ์•Š์•˜๋‹ค. ..
๋‚˜๋…ธ์ž…์ž์™€ ์ค„๊ธฐ์„ธํฌ๋กœ ๋ฅ˜๋งˆํ‹ฐ์Šค ๊ด€์ ˆ์—ผ ๊ทน๋ณต!
๋ฅ˜๋จธํ‹ฐ์ฆ˜์„ฑ ๊ด€์ ˆ์—ผ ์œ ๋ฐœ ์—ฌ๋Ÿฌ ์›์ธ ํ•œ ๋ฒˆ์— ์žก๋Š” ์น˜๋ฃŒ๋ฒ• ์ œ์‹œโ–ฒ ์™„์น˜๊ฐ€ ์–ด๋ ค์› ๋˜ ๋ฅ˜๋งˆํ‹ฐ์Šค ๊ด€์ ˆ์—ผ์˜ ์™„์น˜ ๊ฐ€๋Šฅ์„ฑ์„ ๋ณด์—ฌ์ค€ ์ƒˆ๋กœ์šด ์น˜๋ฃŒ ํ›„๋ณด๋ฌผ์งˆ์ด ๋“ฑ์žฅํ–ˆ๋‹ค...
์ œ์ž„์Šค ์›น, ์ดˆ๊ธฐ ์šฐ์ฃผ๋ฅผ ์ž์„ธํžˆ ๊ด€์ธกํ•˜๋‹ค
๋น…๋ฑ… ํ›„ 10์–ต ๋…„ ๋™์•ˆ ์™œ ์šฐ์ฃผ๋Š” ํˆฌ๋ช…ํ•ด์กŒ์„๊นŒ?๋น…๋ฑ…๊ณผ ํ•จ๊ป˜ ์šฐ์ฃผ๊ฐ€ ์‹œ์ž‘๋˜๊ณ  ์–ผ๋งˆ ๋˜์ง€ ์•Š์•˜์„ ๋•Œ, ๋ณ„๊ณผ ์€ํ•˜ ์‚ฌ์ด์˜ ์šฐ์ฃผ(์ฃผ๋กœ ์ˆ˜์†Œ)๋Š” ๋งค์šฐ ๋ถˆํˆฌ๋ช…ํ•˜์—ฌ ์—๋„ˆ..
์ž์‹๋ณด๋‹ค ์†์ฃผ๊ฐ€ ๋” ์˜ˆ์œ ์ด์œ 
โ–ฒ ํ†ต๊ณ„์— ๋”ฐ๋ฅด๋ฉด ๋ถ€๋ถ€ 2์Œ ์ค‘ 1์Œ์ด ๋ถ€๋ชจ์—๊ฒŒ ์–‘์œก ๋„์›€์„ ๋ฐ›๋Š”๋‹ค. ๋งž๋ฒŒ์ด ๋ถ€๋ถ€๊ฐ€ ๋งŽ์•„์ง€๋ฉฐ โ€˜ํ™ฉํ˜ผ์œก์•„โ€™๋ฅผ ์ง„ํ–‰ ์ค‘์ธ ์กฐ๋ถ€๋ชจ๊ฐ€ ๋Š˜์–ด๋‚ฌ๋‹ค. ์ด ๋•Œ๋ฌธ์— โ€˜ํ• ๋งˆ..
AI, ์ธ๊ฐ„์˜ ์–ธ์–ด์— ๋„๋‹ฌํ•˜๋‹ค
๊ธ€๋กœ๋ฒŒ AI ์„ ๋‘๊ธฐ์—… AI ์ฑ—๋ด‡ ์ž‡๋”ฐ๋ผ ์ถœ์‹œ ์ž„๋ฐ• 2023๋…„ AI ๋ถ„์•ผ์—์„œ ๊ฐ€์žฅ ํฐ ํ™”๋‘๋Š” โ€˜AI ์ฑ—๋ด‡โ€™์˜ ์—ดํ’์ด๋‹ค. (๊ด€๋ จ๊ธฐ์‚ฌ ๋ฐ”๋กœ ๊ฐ€๊ธฐ ? โ€œ์ฑ—GPT๊ฐ€ ์“ด ์‚ฌ์ด์–ธ์Šคํƒ€์ž„์ฆˆ ..
์ œ์ž„์Šค ์›น, ์™ธ๊ณ„ํ–‰์„ฑ LHS 475 b์„ ์ž์„ธํžˆ ๊ด€์ธกํ•˜๋‹ค..
์ง€๊ตฌ์™€ ๋งค์šฐ ๋น„์Šทํ•œ ํฌ๊ธฐ์˜ ํ–‰์„ฑ ๋ฐœ๊ฒฌ ์กด์Šค ํ™‰ํ‚จ์Šค ๋Œ€ํ•™๊ต(Johns Hopkins University) ์‘์šฉ๋ฌผ๋ฆฌํ•™์—ฐ๊ตฌ์†Œ ์ผ€๋นˆ ์Šคํ‹ฐ๋ธ์Šจ ๋ฐ•์‚ฌ(Dr. Kevin Stevenson)์™€ ์ œ์ด์ฝฅ ๋ฃจ์Šคํ‹ฑ-์˜ˆ๊ฑฐ ..
๋ฐฑ๋‘์‚ฐ์€ 2025๋…„์— ์ •๋ง ํญ๋ฐœํ• ๊นŒ?
์–ผ๋งˆ ์ „ ํ•œ ์˜ˆ๋Šฅํ”„๋กœ๊ทธ๋žจ์—์„œ ๋ฐฑ๋‘์‚ฐ์ด 100% ๋ถ„ํ™”ํ•  ๊ฒƒ์ด๋ผ๋Š” ๋‚ด์šฉ์ด ์–ธ๊ธ‰๋˜๋ฉฐ, ์ธํ„ฐ๋„ท๊ณผ ์†Œ์…œ๋„คํŠธ์›Œํฌ์„œ๋น„์Šค(SNS)๋ฅผ ์ค‘์‹ฌ์œผ๋กœ ๋ฐฑ๋‘์‚ฐ ๋ถ„ํ™” ์ด์Šˆ๊ฐ€ ๋œจ๊ฒ๋‹ค. ํ•œ..
์‹œ๋ฆฌ์šฐ์Šค, ๊ฒจ์šธ ๋ฐคํ•˜๋Š˜๊ณผ ์œ„๋Œ€ํ•œ ๋ฐœ๊ฒฌ
์ถ”์œ„๊ฐ€ ์„ฑํผ ๋‹ค๊ฐ€์˜ค๋Š” ๊ฒจ์šธ์˜ ๋ฐค ํ•œ๊ฐ€์šด๋ฐ, ๊นŒ๋งŒ ํ•˜๋Š˜์˜ ์žฅ๋ง‰์—์„œ ์ฒญ๋ฐฑ์ƒ‰์˜ ๊ด‘์ฑ„๋ฅผ ์š”์š”ํ•˜๊ฒŒ ํฉ๋ฟŒ๋ฆฌ๋Š” ์ฃผ์ธ๊ณต์€ ๋ฐ”๋กœ ๋ฐคํ•˜๋Š˜์—์„œ ๊ฐ€์žฅ ๋ฐ์€ ๋ณ„, ์‹œ๋ฆฌ์šฐ์Šค๋‹ค. ..
์œ ์ „์ž๊ฐ€์œ„๋กœ ๋ฉด์—ญ์„ธํฌ ํŽธ์ง‘, ์•” ์ง„ํ–‰ ๋ฉˆ์ท„๋‹ค
ํฌ๋ฆฌ์Šคํผ ์œ ์ „์ž๊ฐ€์œ„๋กœ โ€˜๋งž์ถคํ˜•โ€™ ์•” ์น˜๋ฃŒโ€ฆ๊ณ ํ˜•์•” ๋Œ€์ƒ ์ฒซ ์ž„์ƒ ์‹คํ—˜ โ–ฒ ํฌ๋ฆฌ์Šคํผ ์œ ์ „์ž๊ฐ€์œ„(CRISPR-Cas9)๋Š” ์›ํ•˜๋Š” ๋ถ€์œ„์˜ ์œ ์ „์ž๋ฅผ ์ •๊ตํ•˜๊ฒŒ ์ž˜๋ผ๋‚ด๊ณ ..
๋‹ฌ๊ณผ ์ง€๊ตฌ ์ž‡๋Š” ์—˜๋ฆฌ๋ฒ ์ดํ„ฐ๊ฐ€ ๊ฑด์„ค๋œ๋‹ค?
์ธ๋ฅ˜์˜ ์—ญ์‚ฌ๋Š” ๊ณผํ•™๊ธฐ์ˆ ์˜ ์—ญ์‚ฌ๋ผ๊ณ  ํ•ด๋„ ๊ณผ์–ธ์ด ์•„๋‹ ์ •๋„๋กœ ๊ณผํ•™๊ธฐ์ˆ ์€ ๋ฌธ๋ช… ๋ฐœ์ „์— ์ง€๋Œ€ํ•œ ์˜ํ–ฅ์„ ๋ฏธ์ณค๋‹ค. ํŠนํžˆ ๋ฌด๋ชจํ•ด ๋ณด์ด๋Š” ๋„์ „ ๊ฐ™์ง€๋งŒ, ๊ฒฐ๊ณผ์ ์œผ๋กœ ..
๋‡Œ ์ฝ๊ณ  ์“ฐ๋Š” BCI ๊ฐ€ ๋ฐ”๊ฟ€ ๋ฏธ๋ž˜๋Š”?
๋‡Œ-์ปดํ“จํ„ฐ ์ธํ„ฐํŽ˜์ด์Šค ์˜ํ™”์  ์ƒ์ƒ์„ ํ˜„์‹ค๋กœ ์ธ๊ฐ„์ด ๋ˆ„์›Œ์„œ ์ •์‹ ์„ ํ†ตํ•ด์„œ ์•„๋ฐ”ํƒ€๋ฅผ ์›๊ฒฉ ์กฐ์ •ํ•œ๋‹ค๋“ ์ง€, ์ƒ๊ฐ๋งŒ์œผ๋กœ ์ปดํ“จํ„ฐ๋‚˜ ๊ธฐ๊ณ„๋ฅผ ์›€์ง์ด๋Š” ๊ฒƒ์ด ์ด์ œ๋Š”..
์ „์ž์žฅ์น˜ ์—†์ด ๋ณดํ–‰ํ•˜๋Š” ๋กœ๋ด‡ ๋“ฑ์žฅ
์ „์ž์žฅ์น˜ ์—†์ด ๋ณดํ–‰ํ•˜๋Š” ๋กœ๋ด‡ ๋“ฑ์žฅ [๊ธˆ์š” ํฌ์ปค์Šค]   ์••์ถ• ๊ณต๊ธฐ๋งŒ์œผ๋กœ ์ฃผ์ธ ๋ช…๋ น์— ๋”ฐ๋ผ ์›€์ง์—ฌ ์ง€๋‚œ์—ฌ๋ฆ„, ๋‰ด์š•์ฃผ์™€ ํ”Œ๋กœ๋ฆฌ๋‹ค์ฃผ ๋“ฑ ๋ฏธ๊ตญ์˜ ๋ช‡๋ช‡ ์ฃผ๋“ค์€ ..
์„ธ๊ณ„ ์ตœ์ดˆ๋กœ โ€˜์ƒ์˜จ ์ดˆ์ „๋„์ฒดโ€™ ๊ฐœ๋ฐœ
์„ธ๊ณ„ ์ตœ์ดˆ๋กœ โ€˜์ƒ์˜จ ์ดˆ์ „๋„์ฒดโ€™ ๊ฐœ๋ฐœ - ์ƒ์˜จ์ธ 15ยฐC์—์„œ ์ „๊ธฐ์ €ํ•ญ ์—†๋Š” ์ดˆ์ „๋„ํ˜„์ƒ ์‹คํ˜„ ์ดˆ์ „๋„(superconductivity)๋ž€ ๊ธˆ์†, ํ•ฉ๊ธˆ, ํ™”ํ•ฉ๋ฌผ ๋“ฑ์˜ ์ „๊ธฐ์ €ํ•ญ์ด ์–ด๋А ์˜จ๋..
์ฐฝ์˜์ ์ธ AI์—๊ฒŒ ์ธ๊ฐ„์ด ๋ฐฐ์šฐ๋Š” ์‹œ๋Œ€๊ฐ€ ์™”๋‹ค?
์ธ๊ณต์ง€๋Šฅ(AI)์€ ์ธ๊ฐ„์˜ ์ง€๋Šฅ์„ ํ‰๋‚ด ๋‚ด๋Š” ๊ธฐ์ˆ ์ด๋‹ค.์ด์— AI ์ง€๋Šฅ ์ˆ˜์ค€์— ์ด๋ชฉ์ด ์ ๋ฆฌ๊ณ  ์žˆ๋Š”๋ฐ, ์ตœ๊ทผ ๋“ค์–ด์„œ๋Š” AI์˜ ์ฐฝ์กฐ๋ ฅ์— ๋Œ€ํ•œ ๊ด€์‹ฌ๋„ ๋†’์•„์ง€๊ณ  ์žˆ๋‹ค.์ฐฝ์กฐ๋Š”..
์‹๋ฌผ์ด ๋…น์ƒ‰์„ ๋ ๋Š” ์ง„์งœ ์ด์œ ๋Š”?
ํ–‡๋น› ๊ณผ๋‹ค ๋…ธ์ถœ๋กœ๋ถ€ํ„ฐ ์œ ๊ธฐ์ฒด ๋ณดํ˜ธ ์žŽ์— ๋‚ด๋ฆฌ์ฌ๋Š” ํ–‡๋ณ•์ด ๊ฐ‘์ž๊ธฐ ๋ณ€ํ•  ๋•Œ ์‹๋ฌผ์€ ํƒœ์–‘ ์—๋„ˆ์ง€์˜ ๊ธ‰์ฆ์œผ๋กœ๋ถ€ํ„ฐ ์Šค์Šค๋กœ๋ฅผ ๋ณดํ˜ธํ•ด์•ผ ํ•œ๋‹ค. ์ด๋Ÿฐ ๋ณ€ํ™”์— ๋Œ€์ฒ˜..
์†Œํ–‰์„ฑ ์ถฉ๋Œ ๋’ค ํ™”์‚ฐ ๋ถ„์ถœ์ด ์ƒ๋ฌผ์ข… ๋ณต์› ๋„์™€
ํ™”์‚ฐ ๋ถ„์ถœ์ด โ€˜์ถฉ๋Œ ๊ฒจ์šธโ€™ ๊ธฐ์˜จ ์ƒ์Šน ๊ฐ€์†ํ™” 6600๋งŒ ๋…„ ์ „ ๋ฉ•์‹œ์ฝ” ์œ ์นดํƒ„๋ฐ˜๋„ ์น™์ˆ ๋ฃจ๋ธŒ(Chicxulub) ๊ฐ€๊นŒ์ด์— ์†Œํ–‰์„ฑ ํ˜น์€ ๊ฑฐ๋Œ€ํ•œ ์šด์„์ด ์ถฉ๋Œํ•จ์œผ๋กœ์จ ๊ณต๋ฃก๋“ค์ด..
2์–ต4000๋งŒ ๋…„ ์ „ ํฌ์œ ๋ฅ˜ ๋ฐœ๊ฒฌ
"ํฌ์œ ๋ฅ˜ ์—ญ์‚ฌ, ๋‹ค์‹œ ์“ธ ๊ฐ€๋Šฅ์„ฑ ๋†’์•„"์ง€๊ตฌ๊ฐ€ ํƒ„์ƒํ•œ ์‹œ๊ธฐ๋Š” ์•ฝ 45์–ต ๋…„ ์ „์œผ๋กœ ์ถ”์ •๋œ๋‹ค. ์ดํ›„ ๋‹ค์–‘ํ•œ ์ง€์งˆ์‹œ๋Œ€๋ฅผ ๊ฑฐ์น˜๋ฉด์„œ 2์–ต5190๋งŒ ๋…„ ์ „๋ถ€ํ„ฐ 2์–ต130๋งŒ ๋…„ ์ „๊นŒ..
ํ•ฉ์„ฑ์ƒ๋ฌผํ•™์œผ๋กœ โ€˜์ธ๊ณต์„ธํฌโ€™ ์ œ์ž‘
์‚ฌ๋žŒ ์ง„ํ•ต์„ธํฌ ๋Œ€์‹ ํ•  ํ•ฉ์„ฑ ์„ธํฌ ๋งŒ๋“ค์–ด ๊ณผํ•™์ž๋“ค์ด ์ฒจ๋‹จ ๊ธฐ์ˆ ์„ ์ ์šฉํ•ด ์‚ฌ๋žŒ์˜ ์„ธํฌ์™€ ์œ ์‚ฌํ•œ ์ธ๊ณต์„ธํฌ๋ฅผ ๋งŒ๋“ค๊ธฐ ์‹œ์ž‘ํ–ˆ๋‹ค.20์ผ โ€˜์‚ฌ์ด์–ธ์Šคโ€™ ์ง€๋Š” ๋ฏธ๊ตญ ์บ˜..
๊ณผํ•™์ž๋“ค โ€˜์˜ค๋ฌด์•„๋ฌด์•„โ€™ ์ •์ฒด๋…ผ์Ÿ
์™ธ๊ณ„์ธ ์ž‘ํ’ˆ vs ํ˜œ์„ฑ์ผ ๋ฟ ์ง€๋‚œํ•ด 10์›” ํƒœ์–‘๊ณ„์— ๋‚˜ํƒ€๋‚œ ๋ถ‰์€ ์‹œ๊ฐ€(cigar) ๋ชจ์–‘์˜ ์ฒœ์ฒด โ€˜์˜ค๋ฌด์•„๋ฌด์•„(Oumuamua)โ€™๋ฅผ ๋‘˜๋Ÿฌ์‹ธ๊ณ  ๊ณผํ•™์ž๋“ค์ด ๋˜๋‹ค์‹œ ๋…ผ์Ÿ์„ ๋ฒŒ์ด๊ณ  ์žˆ..
์œ ์ „์ž๊ฐ€ ์ˆ˜๋ช…์— ๋ฏธ์น˜๋Š” ์˜ํ–ฅ๋ ฅ์€ ๊ฒจ์šฐ 7%
๋ฐฐ์šฐ์ž ๊ณ ๋ฅด๋Š” โ€˜๋™๋ฅ˜๊ต๋ฐฐโ€™๊ฐ€ ๋” ์ค‘์š”   ๋งŽ์€ ์‚ฌ๋žŒ๋“ค์˜ ๊ด€์‹ฌ์‚ฌํ•ญ ์ค‘ ํ•˜๋‚˜๊ฐ€ ์žฅ์ˆ˜ ์œ ์ „์ž์˜ ์กด์žฌ ์œ ๋ฌด, ํ˜น์€ ์œ ์ „์ž๊ฐ€ ์žฅ์ˆ˜์— ์–ผ๋งˆ๋‚˜ ์˜ํ–ฅ์„ ๋ฏธ์น˜๋Š”๊ฐ€ ..
์ž…์ž๋ฌผ๋ฆฌํ•™์˜ ํ‘œ์ค€๋ชจํ˜• ์ง€์ง€, ๋‹ค๋ฅธ ์ด๋ก ์€ ๋ฐฐ์ œ..
์ „์ž๋Š” ์‹ค์ œ๋กœ ๋‘ฅ๊ธ€๋‹ค ์ดˆ์ •๋ฐ€ ๊ด€์ฐฐ๋กœ ํ™•์ธ ์ด์ œ ๊ณผํ•™๊ณ„๋Š” ๊ธด์žฅ์„ ์ข€ ํ’€ ์ˆ˜ ์žˆ๊ฒŒ ๋๋‹ค. ์ „์ž๊ฐ€ ์—ฌ์ „ํžˆ ๋‘ฅ๊ธ€๋‹ค๋Š” ์‚ฌ์‹ค์„ ํ™•์ธํ–ˆ๊ธฐ ๋•Œ๋ฌธ์ด๋‹ค. ์ ์–ด๋„ ์ง€๊ธˆ๊นŒ์ง€..
ํฌ์œ ๋ฅ˜ ๋ฉธ์ข… ์†๋„ ๋” ๋นจ๋ผ์กŒ๋‹ค.
ํฌ์œ ๋ฅ˜ ๋ฉธ์ข… ์†๋„ ๋” ๋นจ๋ผ์กŒ๋‹ค.์ง€๊ตฌ์ƒ์— ์‚ด๊ณ  ์žˆ๋Š” ์ƒ๋ฌผ ํ™”์„๋“ค์„ ์ •๋ฆฌํ•ด ๋ณด๋ฉด ์‹œ๊ธฐ์— ๋”ฐ๋ผ ๊ทธ ๋ชจ์Šต์ด ์ ์ฐจ ๋ณ€ํ™”ํ–ˆ๋‹ค๋Š” ๊ฒƒ์„ ์•Œ ์ˆ˜ ์žˆ๋‹ค. ์ด๋Š” ์‚ด์•„๊ฐ€๋ฉด์„œ ..
์ง€๊ตฌ ์˜จ๋‚œํ™” ๋งˆ์ง€๋…ธ์„ ์€ 1.5โ„ƒ
์ง€๊ตฌ ์˜จ๋„์˜ ์ƒ์Šนํญ์„ 1.5โ„ƒ ์ด๋‚ด๋กœ ์ œํ•œํ•˜์ž๋Š” ๋‚ด์šฉ์˜ ๋ณด๊ณ ์„œ๊ฐ€ ์ตœ๊ทผ ์—ด๋ฆฐ ์ œ48์ฐจ IPCC ์ดํšŒ์—์„œ ๋งŒ์žฅ์ผ์น˜๋กœ ์ฑ„ํƒ๋๋‹ค. ์ด์— ๋”ฐ๋ผ ์ „ ์„ธ๊ณ„ 195๊ฐœ๊ตญ์˜ ์˜จ์‹ค๊ฐ€์Šค ..
๊ทธ๋ž˜ํ•€, 5G ๊ด‘๋Œ€์—ญํ†ต์‹  ์ฃผ์—ญ ๋ถ€์ƒ
์ดˆ๋‹น 1ํ…Œ๋ผ๋น„ํŠธ ๋„˜๋Š” ์ดˆ๊ณ ์†ํ†ต์‹  ๊ฐ€๋Šฅ โ€˜๊ฟˆ์˜ ์‹ ์†Œ์žฌโ€™๋กœ ๋ถˆ๋ฆฌ๋Š” ๊ทธ๋ž˜ํ•€(graphene)์ด ์ฐจ์„ธ๋Œ€ ๊ด‘๋Œ€์—ญ ํ†ต์‹ ์˜ ์ฃผ์—ญ์œผ๋กœ ๋“ฑ์žฅํ•  ๊ฐ€๋Šฅ์„ฑ์ด ์ ์ณ์ง€๊ณ  ์žˆ๋‹ค. ๊ทธ๋ž˜ํ•€์€ ..
์˜ํ•™ ๋ฐœ์ „์— ๊ธฐ์—ฌํ•œ ์ธ๊ฐ„ โ€˜๋ชจ๋ฅด๋ชจํŠธโ€™
๋šœ๊ป‘ ๋‹ฌ๋ฆฐ ์œ„๋ฅผ ๊ฐ€์ง„ ์‚ฌ๋žŒ   ํ”ํžˆ โ€˜๋ชจ๋ฅด๋ชจํŠธโ€™ํ•˜๋ฉด ์‹ ์•ฝํ’ˆ์ด๋‚˜ ๋…์„ฑ๋ฌผ ๋“ฑ์˜ ์ƒ์ฒด์‹คํ—˜์— ์ด์šฉ๋˜๋Š” ์ƒ์ฅ ๋น„์Šทํ•œ ๋™๋ฌผ์„ ์ง€์นญํ•œ๋‹ค.๊ทธ๋Ÿฌ๋‚˜ ์—„๋ฐ€ํžˆ ๋งํ•˜๋ฉด ..
์นด๋ ˆ์˜ โ€˜ํ•ญ์•” ํšจ๊ณผโ€™, ์–ด๋””๊นŒ์ง€ ์‚ฌ์‹ค์ผ๊นŒ?
์ปคํ๋ฏผ, ํ•ญ์•”์ œ ๊ฐ€๋Šฅ์„ฑ ๋ดค๋‹ค.   โ€˜์Œ์‹์ด ์•ฝ์ด๋‹คโ€™๋Š” ๋ง์ด ๋ฌด์ƒ‰ํ•˜๊ฒŒ ํ˜„๋Œ€์ธ์˜ ๋Œ€์‚ฌ์งˆํ™˜ ๋‹ค์ˆ˜๋Š” ๋งŒ์„ฑ์ ์ธ ๊ณผ์‹ ๋•Œ๋ฌธ์ด๋ผ๊ณ  ํ•œ๋‹ค. ์ข‹์€ ์‹์žฌ๋ฃŒ ๋งŒ๋“  ์Œ์‹์„..
๋ฐฐ๊ณ ํ”„๋ฉด ์ž  ์•ˆ ์˜ค๋Š” ์ด์œ 
์•„๋ฏธ๋…ธ์‚ฐ ์„ธ๋ฆฐ ๋†๋„๊ฐ€ ์˜ํ–ฅ โ€œ์ €๋„ ์•Œ์ฃ . ๊ทธ๋Ÿฐ๋ฐ ๋ฐฐ๊ฐ€ ๊ณ ํŒŒ ์ž ์ด ์•ˆ ์˜ค๋Š”๋ฐ ์–ด์ฉŒ๊ฒ ์–ด์š”โ€ฆโ€๋งˆ๋ฅธ ์ฒดํ˜•์ด๋‹ค ๋ณด๋‹ˆ ๋‚จ์ž์ž„์—๋„ ๊ฐ€๋” ๋น„๊ฒฐ์ด ๋ญ๋ƒ๋Š” ์งˆ๋ฌธ์„ ๋ฐ›๋Š”..
โ€œ์™ธ๊ณ„์ธ? 99.9% ์žˆ์ง€๋งŒ ๋ชป ๋งŒ๋‚˜โ€
1982๋…„ ๊ฐœ๋ด‰ํ•œ ์Šคํ‹ฐ๋ธ ์Šคํ•„๋ฒ„๊ทธ์˜ ์˜ํ™” E.T(The Extra Terrestrial)๋Š” ์™ธ๊ณ„์ƒ๋ช…์ฒด๊ฐ€ ์ธ๊ฐ„์„ ๊ณต๊ฒฉํ•˜๊ฑฐ๋‚˜ ์œ„ํ˜‘ํ•˜์ง€ ์•Š๊ณ  ์šฐ์ •๊ณผ ํ‰ํ™”๋ฅผ ๊ณต์œ ํ•˜๋Š” ๋ชจ์Šต์„ ๊ทธ๋ ค ์ „ ์„ธ๊ณ„์ธ..
ํ† ์„ฑ ์œ„์„ฑ โ€˜์ƒ๋ช…์ฒด ์ฆ๊ฑฐโ€™ ๋ฐœ๊ฒฌ
์ƒ๋ช… ์š”๊ฑด์ธ ๋ณตํ•ฉ ์œ ๊ธฐ๋ถ„์ž ๋ถ„์ถœ๋ผ ํ† ์„ฑ์˜ ์œ„์„ฑ์ธ ์—”์…€๋ผ๋‘์Šค(Enceladus)์˜ ์–ผ์Œ ํ‘œ๋ฉด ํ‹ˆ์—์„œ ํƒ„์†Œ๊ฐ€ ํ’๋ถ€ํ•œ ์œ ๊ธฐ ๋ถ„์ž๊ฐ€ ๋ถ„์ถœ๋œ๋‹ค๋Š” ์‚ฌ์‹ค์ด ๋ฐํ˜€์กŒ๋‹ค.๋ฏธ๊ตญ ๋‚จ..
์•”ํ‘๋ฌผ์งˆ ์กด์žฌ ๋ฐํž ๋ฐฉ๋ฒ• ๋‚˜์™”๋‹ค.
์•”ํ‘๋ฌผ์งˆ(dark matter)์€ ์‹ค์ œ๋กœ ์กด์žฌํ• ๊นŒ? ์•„๋‹ˆ๋ฉด ๋‰ดํŠผ์˜ ์ค‘๋ ฅ๋ฒ•์น™์„ ์ˆ˜์ •ํ•ด์„œ ์ ์šฉํ•ด์•ผ ํ• ๊นŒ? ๋…์ผ ๋ณธ ๋Œ€ํ•™๊ณผ ๋ฏธ๊ตญ ์บ˜๋ฆฌํฌ๋‹ˆ์•„์ฃผ๋ฆฝ๋Œ€(์–ด๋ฐ”์ธ) ์—ฐ๊ตฌํŒ€์ด ์ฒœ์ฒด๋ฌผ..
์ˆœ๊ฐ„ ์ด๋™์€ ๊ฐ€๋Šฅํ• ๊นŒ?
์ƒ๋‹นํžˆ ๋ฉ€๋ฆฌ ๋–จ์–ด์ง„ ๊ฑฐ๋ฆฌ ๋“ฑ์„ ์ˆœ๊ฐ„์ ์œผ๋กœ ์ด๋™ํ•˜๋Š” โ€˜๊ณต๊ฐ„์ด๋™โ€™์€ SF๋ฌผ์—์„œ ์ž์ฃผ ๋“ฑ์žฅํ•˜๋Š” ์žฅ๋ฉด์ด๋‹ค. ์ด์™€ ๊ด€๋ จ๋œ ๊ฐ€์žฅ ์œ ๋ช…ํ•œ ์ž‘ํ’ˆ์œผ๋กœ๋Š” ์Šคํƒ€ํŠธ๋ ‰(Star Trek..
์•”ํ‘์—๋„ˆ์ง€๊ฐ€ ์šฐ์ฃผ ๊ณผํ•™ ํ”๋“ค์–ด
๋ฐ์ด๋น„๋“œ ์•„์ดํ—ˆ(David Eicher 1961~ )๋Š” 2016๋…„์— ์ฑ… ํ•œ ๊ถŒ์„ ์“ฐ๊ณ  ์ œ๋ชฉ์„ โ€˜๋‰ด ์ฝ”์Šค๋ชจ์Šคโ€™(New Cosmos)๋ผ๊ณ  ๋„๋ฐœ์ ์œผ๋กœ ๋ถ™์˜€๋‹ค. ์ด ์ฑ…์€ ๋ถ„๋ช…ํžˆ ์นผ ์„ธ์ด๊ฑด(Carl Sagan 1934~1..
1์–ต5์ฒœ๋งŒ๊ด‘๋…„ ๋ธ”๋ž™ํ™€์„œ ๋ฌผ์งˆ ๋ถ„์ถœ โ€˜์ œํŠธํ˜„์ƒโ€™..
๋ธ”๋ž™ํ™€์ด ๊ฐ•๋ ฅํ•œ ์ค‘๋ ฅ์œผ๋กœ ์ธ๊ทผ ๋ณ„์„ ๋Œ์–ด๋‹น๊ฒจ ์‚ผํ‚ค๋ฉด์„œ ๋ฌผ์งˆ์„ ๋ถ„์ถœํ•˜๋Š” ์ œํŠธ(jet) ํ˜„์ƒ์„ ์ฒ˜์Œ์œผ๋กœ ์ง์ ‘ ๊ด€์ธกํ–ˆ๋‹ค๊ณ  ๊ณผํ•™์ž๋“ค์ด ํ•™๊ณ„์— ๋ณด๊ณ ํ–ˆ๋‹ค.์‹ ํ™”ํ†ต์‹  ..
๋ฉธ์ข… ๋™๋ฌผ ๋ณต์ œ์™€ โ€˜ํ‚ค๋ฉ”๋ผโ€™
๋ช‡ ๋…„ ์ „์— ์„ ๋ณด์ธ ์ฒซ ํŽธ์— ์ด์–ด์„œ ์ฅฌ๋ผ๊ธฐ ์›”๋“œ๋ผ๋Š” ์ œ๋ชฉ์œผ๋กœ๋Š” ๋‘ ๋ฒˆ์งธ ์ž‘ํ’ˆ์ธ๋ฐ, ๋ชจ๋‘ ๋งˆ์ดํด ํฌ๋ผ์ดํŠผ์˜ ์›์ž‘ ์†Œ์„ค์„ ๋ฐ”ํƒ•์œผ๋กœ ์ง€๋‚œ 1990๋…„๋Œ€์— ์„ ๋ณด์—ฌ ํฐ ..
๋ณ„ ํƒ„์ƒ์˜ ๋น„๋ฐ€์„ ๋ฐํ˜€๋‚ด๋‹ค.
์‹ ์ƒ๋ณ„์—์„œ ๋ฐฉ์ถœํ•œ ๊ทน์ดˆ๋‹จํŒŒ ๋ถ„์„์— ์„ฑ๊ณต ์šฐ์ฃผ์—๋Š” ์ˆ˜๋งŽ์€ ๋ณ„๋“ค์ด ์„ฌ์ฒ˜๋Ÿผ ๋ชจ์—ฌ ์žˆ๋Š” ์€ํ•˜๊ฐ€ ์‚ฐ์žฌํ•ด ์žˆ๋‹ค. ๊ทธ ์ค‘ ํƒœ์–‘๊ณ„๊ฐ€ ํฌํ•จ๋˜์–ด ์žˆ๋Š” โ€˜์šฐ๋ฆฌ์€ํ•˜(our galaxy)..
๋˜‘๋˜‘ํ•œโ€™ ๊ฟ€๋ฒŒ, ์ˆซ์ž โ€™0โ€ฒ์˜ ๊ฐœ๋… ์•ˆ๋‹ค.
์˜์žฅ๋ฅ˜ยท๋Œ๊ณ ๋ž˜ ๋“ฑ๋งŒ ์žˆ๋Š” '์ œ๋กœํด๋Ÿฝ' ๊ฐ€์ž… ๊ฟ€๋ฒŒ์ด ์•„๋ฌด๊ฒƒ๋„ ์—†์Œ์„ ๋‚˜ํƒ€๋‚ด๋Š” ์ˆซ์ž โ€™0โ€ฒ์˜ ๊ฐœ๋…์„ ์•„๋Š” ๊ฒƒ์œผ๋กœ ๋‚˜ํƒ€๋‚ฌ๋‹ค๊ณ  ๊ณผํ•™์ž๋“ค์ด ํ•™๊ณ„์— ๋ณด๊ณ ํ–ˆ๋‹ค.์ˆซ์ž..
๊ฐœ๋ฏธ์™€ ๊ณฐํŒก์ด, ํ•จ๊ป˜ ์ง„ํ™”ํ•˜๋Š” ๊ด€๊ณ„?
์„œ๋กœ ๋จน๊ณ  ๋จนํžˆ๋Š” ๊ด€๊ณ„โ€™๋ผ๋Š” ํ‘œํ˜„์€ ๋”ฑ ์ด๋Ÿฐ ๊ฒฝ์šฐ์— ํ•ด๋‹น๋˜๋Š” ๊ฒƒ์ด ์•„๋‹๊นŒ.๋ฐ”๋กœ ๊ฐœ๋ฏธ์™€ ๊ณฐํŒก์ด์˜ ๊ด€๊ณ„๋‹ค. ๊ฐœ๋ฏธ์™€ ๊ณฐํŒก์ด๋ฅผ ๋จน๊ณ  ๋จนํžˆ๋Š” ๊ด€๊ณ„๋กœ ๋น„์œ ํ•œ ์ด์œ ..
ํ™”์„ฑ์—์„œ ์ƒ๋ช…์ฒด ํ”์ ์„ ์ฐพ์•˜๋‹ค.
๋•…์— ๋ฌปํ˜€ ์žˆ๋Š” ์•”์„์—์„œ ์œ ๊ธฐ ๊ณ ๋ถ„์ž ๋ฐœ๊ฒฌ๋ฏธํ•ญ๊ณต์šฐ์ฃผ๊ตญ(NASA)์€ 2011๋…„ 11์›” ์ปค๋‚ด๋ฒ„๋Ÿด ๊ณต๊ตฐ๊ธฐ์ง€์—์„œ ๋Œ€ํ˜•ํƒ์‚ฌ๋กœ๋ด‡์„ ํƒ‘์žฌํ•œ ํ™”์„ฑํƒ์‚ฌ์„  โ€˜ํ๋ฆฌ์˜ค์‹œํ‹ฐ(Curiosity)..
์ž…์œผ๋กœ ์ƒˆ๋ผ ๋‚ณ๋Š” ๊ฐœ๊ตฌ๋ฆฌ ๋ถ€ํ™œ
์œ„์žฅ์„ ์ž๊ถ์œผ๋กœ ์‚ฌ์šฉํ•˜๋Š” ์œ ์ผํ•œ ๋™๋ฌผ   1974๋…„ ํ˜ธ์ฃผ์˜ ์–‘์„œ๋ฅ˜ํ•™์ž ๋งˆ์ดํฌ ํƒ€์ผ๋Ÿฌ(Mike Tyler)๋Š” ํฌํ•œํ•œ ๊ด‘๊ฒฝ์„ ๋ชฉ๊ฒฉํ–ˆ๋‹ค. ๋ฐ”๋กœ ๋ˆˆ์•ž์—์„œ ๊ฐœ๊ตฌ๋ฆฌ๊ฐ€ ์ž…์œผ..
ICT๋กœ ๋†์—…ํ˜๋ช… ์ค‘โ€ฆ์›๊ฒฉ๋†์žฅ
์ตœ๊ทผ ์ผ๋ณธ์—๋Š” ์›๊ฒฉ๋†์žฅ์ด ํฐ ์ธ๊ธฐ๋ฅผ ๋Œ๊ณ  ์žˆ๋‹ค. ์ปดํ“จํ„ฐ ์˜์ƒ์„ ๋ณด๋ฉด์„œ ๋†์‚ฌ๋ฅผ ์ง€์„ ์ˆ˜ ์žˆ๋Š” ํŠน์ดํ•œ ๋†์žฅ์ด๋‹ค. ๋ฒค์ฒ˜๊ธฐ์—…์ธ 'ํ…”๋ ˆํŒœ'์ด ๊ณ ์•ˆํ•ด๋ƒˆ๋Š”๋ฐ ์ปดํ“จํ„ฐ ๊ฒŒ..
๊ฐ์ •์ด ์‹ ์ฒด์— ์ผ์ •ํ•œ ์˜ํ–ฅ ๋ฏธ์ณ
๊ฐ์ •์ด ์‹ ์ฒด์— ์ผ์ •ํ•œ ์˜ํ–ฅ ๋ฏธ์ณ ์šฐ์šธ์ฆํ™˜์ž ์•” ๋ฐœ์ƒ๊ณผ ๋ฐ€์ ‘ํ•œ ์—ฐ๊ด€ ๊ฐ‘์ž‘์Šค๋Ÿฌ์šด ์ŠคํŠธ๋ ˆ์Šค๋กœ ์ธํ•ด ๋ชธ์— ์ด์ƒ์ด ์ƒ๊ฒผ์„๋•Œ, ์‚ฌ๋žŒ๋“ค์€ ์ข…์ข… '์ด๊ฒŒ ๋‹ค ๊ธฐ๋ถ„ ํƒ“์ด๋‹ค'..
๋ˆˆ์— ๋ณด์ด์ง€ ์•Š๋Š” โ€˜๊ฒ€์€ ๋ฒˆ๊ฐœโ€™ ์นœ๋‹ค.
ํญํ’์šฐ๊ฐ€ ์น˜๋Š” ํ•˜๋Š˜์—๋Š” ๋ฒˆ์ฉ์ด๋Š” ๋น›๊ณผ ํ•จ๊ป˜ ํฐ ์†Œ๋ฆฌ๊ฐ€ ๋ฐœ์ƒํ•œ๋‹ค. ์ฒœ๋‘ฅ๊ณผ ๋ฒˆ๊ฐœ๋‹ค. ๋ฒˆ๊ฐœ๋Š” ์–‘์ „ํ•˜๊ฐ€ ์Œ“์ธ ๊ตฌ๋ฆ„์—์„œ ์Œ์ „ํ•˜๊ฐ€ ์Œ“์ธ ๋•…์ด๋‚˜ ๋‹ค๋ฅธ ๊ตฌ๋ฆ„์œผ๋กœ ์ „์ž..
๋ฌด์ธ์ž๋™์ฐจ ์—”์ง€๋‹ˆ์–ด
๊ฐ€์ƒ์˜ ๋ฏธ๋ž˜(2035๋…„) ์„ธ๊ณ„๋ฅผ ๋ฐฐ๊ฒฝ์œผ๋กœ ํ•˜๋Š” 2004๋…„์˜ ์ธ๊ธฐ ์˜ํ™” ์•„์ด๋กœ๋ด‡(iRobot)์—๋Š” ์ฃผ์ธ๊ณต(์œŒ ์Šค๋ฏธ์Šค)์˜ ๋ฉ‹์ง„ ์ฐจ(ํžˆ๋กœ)๊ฐ€ ๋‚˜์˜จ๋‹ค. ์ด๋ณด๋‹ค ์ด๋ฅธ 1980๋…„๋Œ€ ์ธ๊ธฐ ์™ธํ™”..
๋น„๋งŒ ์„ธ๊ท  ๋ฐœ๊ฒฌ, ์ธ๊ตฌ 30%๊ฐ€ ์ด ์„ธ๊ท  ๋•Œ๋ฌธ์—..
์ค‘๊ตญ ์ƒํ•˜์ด ์ž์˜คํ‰๋Œ€ํ•™ ์—ฐ๊ตฌํŒ€์— ๋”ฐ๋ฅด๋ฉด ๋˜‘๊ฐ™์ด ๋จน์–ด๋„ ์‚ด์„ ๋” ์ฐŒ๊ฒŒ ๋งŒ๋“œ๋Š” ๋น„๋งŒ ์„ธ๊ท ์ด ์กด์žฌํ•œ๋‹ค๋Š” ์‚ฌ์‹ค์ด ๋ฐํ˜€์กŒ๋‹ค.์—ฐ๊ตฌ์ง„์€ ์‹คํ—˜์„ ํ†ตํ•ด ์‹ ์ง„๋Œ€์‚ฌ๋ฅผ ๋ฐฉ..
๋งŒ๋Šฅ์ค„๊ธฐ์„ธํฌ ๋ถ„ํ™”๋ ฅ ์กฐ์ ˆ ๊ฐ€๋Šฅํ•˜๋‹ค
๋งŒ๋Šฅ์ค„๊ธฐ์„ธํฌ ๋ถ„ํ™”๋ ฅ ์กฐ์ ˆ ๊ฐ€๋Šฅํ•˜๋‹ค.  ์ค„๊ธฐ์„ธํฌ๋Š” ํ˜„์žฅ์—์„œ ์ข…์‚ฌํ•˜๋Š” ์—ฐ๊ตฌ์ž๋ฟ ์•„๋‹ˆ๋ผ ๋งŽ์€ ๋Œ€์ค‘๋“ค์—๊ฒŒ โ€˜๊ฟˆ์˜ ์˜ํ•™โ€™์œผ๋กœ ๋‚จ์•„ ์žˆ๋‹ค. ํŠนํžˆ ๋งŒ๋Šฅ์ค„๊ธฐ์„ธํฌ..
์ธ๊ฐ„์˜ ์‹ ์ฒด, ๋ฏธ๋ž˜ ์˜ˆ์ธกํ•  ์ˆ˜ ์žˆ๋‹ค
๊ณผ๊ฑฐ์— ํ•œ๋ฒˆ ๊ฒฝํ—˜ํ•œ ๊ฒƒ ๊ฐ™์€ ๋ฐ์ž๋ทฐ ํ˜„์ƒ  ์˜ํ™” '๋งˆ์ด๋„ˆ๋ฆฌํ‹ฐ ๋ฆฌํฌํŠธ'๋Š” ์„ธ ๋ช…์˜ ์กด์žฌ๋ฅผ ํ†ตํ•ด ๋ฏธ๋ž˜๋ฅผ ๋‚ด๋‹ค๋ณด๊ณ , ์ผ์–ด๋‚  ๋ฒ”์ฃ„๋ฅผ ๋ฏธ๋ฆฌ ๋ง‰๋Š”๋‹ค๋Š” ๋‚ด์šฉ์„ ๊ฐ€..
์•„์ธ์Šˆํƒ€์ธ์˜ ๋‡Œ, ์žฌ์ƒ์ด ๊ฐ€๋Šฅํ•˜๋‹ค?
์ง€๋‚œ 1์›” ๋ง ์œ ๋Ÿฝ์œ„์›ํšŒ(EC)๋Š” ๊ฑฐ๋Œ€ ์—ฐ๊ตฌ์‚ฌ์—…์ธ ์ธ๊ฐ„ ๋‡Œ ํ”„๋กœ์ ํŠธ(Human Brain Project, ์ดํ•˜ HBP)๋ฅผ ๋ฐœํ‘œํ–ˆ๋‹ค. ์ด ํ”„๋กœ์ ํŠธ๋ฅผ ๋ฏธ๋ž˜๊ธฐ์ˆ  ์ฃผ๋ ฅ์‚ฌ์—…(FET ํ”Œ๋ž˜๊ทธ์‹ญ) ํ”„๋กœ๊ทธ..
์Šˆํผ๋ฐ•ํ…Œ๋ฆฌ์•„, โ€˜๊ฟ€โ€™๋กœ ๋ง‰๋Š”๋‹ค.
์Šˆํผ๋ฐ•ํ…Œ๋ฆฌ์•„โ€™์˜ ์œ„ํ˜‘์— ๋…ธ์ถœ๋˜๋Š” ํ™˜์ž๊ฐ€ ๋Š˜์–ด๋‚˜๊ณ  ์žˆ๋‹ค. ์ผ๋ฐ˜์ ์ธ ์„ธ๊ท ์€ ํ•ญ์ƒ์ œ๋กœ ์—†์•จ ์ˆ˜ ์žˆ์ง€๋งŒ ์Šˆํผ๋ฐ•ํ…Œ๋ฆฌ์•„๋Š” ๋‚ด์„ฑ์ด ๊ฐ•ํ•˜๊ธฐ ๋•Œ๋ฌธ์— ๊ฐ•๋ ฅํ•œ ํ•ญ์ƒ์ œ์—..
์‹œ๊ฐ„์—๋„ โ€˜๋„ํ”Œ๋Ÿฌ ํšจ๊ณผโ€™ ์ ์šฉ๋œ๋‹ค?
๋ฏธ๋ž˜๊ฐ€ ๊ณผ๊ฑฐ๋ณด๋‹ค ๊ฐ€๊น๊ฒŒ ๋А๊ปด์ ธ์‹œ๊ฐ„์—๋„ โ€˜๋„ํ”Œ๋Ÿฌ ํšจ๊ณผโ€™ ์ ์šฉ๋œ๋‹ค. ๋Œ€๋ถ€๋ถ„ ์‚ฌ๋žŒ๋“ค์€ ๋ฏธ๋ž˜๊ฐ€ โ€˜๋‹ค๊ฐ€์˜ค๊ณ โ€™ ๊ณผ๊ฑฐ๋Š” โ€˜๋ฉ€์–ด์ง€๋Š”โ€™ ๊ฒƒ์œผ๋กœ ์ƒ์ƒํ•œ๋‹ค. โ€œ์„ธ์›”์ด ..
ํ™”์„ฑ์œผ๋กœ ๊ฐ€๋Š” ์šฐ์ฃผ์„ ์—๋Š” ์ €์ฃผ๊ฐ€ ๊ฑธ๋ ค์žˆ๋‹ค?
  ํ™”์„ฑ์œผ๋กœ ๊ฐ€๋Š” ์šฐ์ฃผ์„ ์—๋Š” ์ €์ฃผ๊ฐ€ ๊ฑธ๋ ค์žˆ๋‹ค? ์ œ๋ชฉ๋ถ€ํ„ฐ <์ „์„ค์˜ ๊ณ ํ–ฅ>ํ‹ฑํ•˜๋‹ค๊ณ  ํ•˜์‹ค์ง€๋Š” ๋ชฐ๋ผ๋„, ํ™”์„ฑ ํƒ์‚ฌ๋Š” ์ •๋ง๋กœ ๋Œ€๋‹จํžˆ โ€˜์žฌ์ˆ˜ ์—†๋Š”โ€™ ์šฐ์ฃผ..
2์›” ํ•œํŒŒ, ๋ถ๊ทน์ง„๋™์ด ์›์ธ
2์›” 2์ผ ์„œ์šธ ์•„์นจ์ตœ์ €๊ธฐ์˜จ -17.1๋„. ์ œ์ฃผ๋„๋ฅผ ๋น„๋กฏํ•œ ์ „๊ตญ์ด ์˜ํ•˜์˜ ๊ธฐ์˜จ์„ ๊ธฐ๋กํ•˜๋ฉด์„œ ยด2์›” ํ•œํŒŒยด๋ฅผ ๋ณด์˜€๋‹ค. ๋ด‰ํ™” -27.7๋„(2.3), ์ œ์ฒœ -25.9๋„(2.3), ๋ฌธ์‚ฐ -24.6๋„(..
ํ˜œ์„ฑ ํญํ’, ๋จผ ํ–‰์„ฑ๊ณ„์— ์Ÿ์•„์ง€๋Š” ์ƒ๋ช…์˜ ๋น„
  ๊ณผ๊ฑฐ ํƒœ์–‘๊ณ„์™€ ๋‹ฎ์€ ๊ผด, ์ƒ๋ช… ํƒ„์ƒํ• ๊นŒ?  ์„ฑ ํญํ’, ๋จผ ํ–‰์„ฑ๊ณ„์— ์Ÿ์•„์ง€๋Š” ์ƒ๋ช…์˜ ๋น„ ๊ณผ๊ฑฐ ํƒœ์–‘๊ณ„์™€ ๋‹ฎ์€ ๊ผด, ์ƒ๋ช… ํƒ„์ƒํ• ๊นŒ? โ–ฒ ์—ํƒ€ ์ฝ”๋ฅด๋น„ ํ–‰์„ฑ..
ํŒ๋‹ค๊ฐ€ ์ดˆ์‹๋™๋ฌผ๋กœ ๋ณ€ํ•œ ์ด์œ 
  ํŒ๋‹ค๊ฐ€ ์ดˆ์‹๋™๋ฌผ๋กœ ๋ณ€ํ•œ ์ด์œ  ๋ฐํ˜€์ ธ ํฐ ๋ฉ์น˜์— ์–ด์šธ๋ฆฌ์ง€ ์•Š๊ฒŒ ๋Œ€๋‚˜๋ฌด ์žŽ๋งŒ์„ ๋จน๊ณ ์‚ฌ๋Š” ํŒ๋‹ค๋Š” ์„ฑ๊ฒฉ์ด ์˜จ์ˆœํ•˜๊ณ  ๋™์ž‘์ด ์• ๊ต์Šค๋Ÿฌ์šด ๋™๋ฌผ์ด๋‹ค. ๊ฒ€..
์œ ์ „์ž ์กฐ์ž‘ํ•œ ๋ชจ๊ธฐโ€ฆ '์‚ด์•„ ์žˆ๋Š” ์‚ด์ถฉ์ œ' ๋–ด๋‹ค...
  ์šฐ๋ฆฌ๋‚˜๋ผ๋Š” ๊ฐ€์„์ด ํ•œ์ฐฝ์ด์ง€๋งŒ ๋‚จ๋ฐ˜๊ตฌ์˜ ๋ธŒ๋ผ์งˆ์€ ํ•œ์—ฌ๋ฆ„์ด ๋‹ค๊ฐ€์˜ค๊ณ  ์žˆ๋‹ค. ์˜ฌ์—ฌ๋ฆ„ ๋ธŒ๋ผ์งˆ์€ ์ƒˆ๋กœ์šด ์ „์Ÿ์„ ์ค€๋น„ํ•˜๊ณ  ์žˆ๋‹ค. ์ „์—ผ๋ณ‘์„ ์˜ฎ๊ธฐ๋Š” ๋ชจ๊ธฐ๋ฅผ ..
๊ทนํ•œ ํ™˜๊ฒฝ ์ด๊ฒจ๋‚ด๋Š” ์‹๋ฌผ์œ ์ „์ž ์ฐพ์•˜๋‹ค..
 ์‹๋ฌผ์ด ์ถ”์œ„๋‚˜ ์†Œ๊ธˆ๊ธฐ, ์ˆ˜๋ถ„๋ถ€์กฑ ๋“ฑ์˜ ์—ด์•…ํ•œ ํ™˜๊ฒฝ์— ๊ฒฌ๋”œ ์ˆ˜ ์žˆ๊ฒŒ ํ•˜๋Š” ์œ ์ „์ž๊ฐ€ ๊ตญ๋‚ด ์—ฐ๊ตฌ์ง„์— ์˜ํ•ด ์„ธ๊ณ„ ์ฒ˜์Œ์œผ๋กœ ๋ฐœ๊ฒฌ๋๋‹ค.์œ ์ „๊ณตํ•™์„ ํ†ตํ•ด ๊ทนํ•œ ํ™˜..
๊ฐ€์„๋‚จ์ž๋Š” ์™œ ๊ฐ€์„ ํƒˆ๊นŒ??
  ๊ฐ€์„์ด ๋ฌด๋ฅด์ต๊ณ  ์žˆ๋‹ค. ๋ฐ”์•ผํ๋กœ ๊ฐ€์„๋‚จ์ž(็ง‹็”ท)์˜ ๊ณ„์ ˆ์ด๋‹ค. ๋‚จ์ž๋“ค์€ ์™œ ์œ ๋… ๊ฐ€์„์„ ํƒ€๋Š” ๊ฒƒ์ผ๊นŒ. ๋ณด๊ณ ์— ๋”ฐ๋ฅด๋ฉด ์„ธ๋กœํ† ๋‹Œ์ด ์ฃผ์š”ํ•œ ์—ญํ• ์„ ํ•˜๋Š” ๊ฒƒ..
๊ฑฐ๋Œ€ ์™ธ๊ณ„์ธ๋“ค์˜ ๋ฌด๋ค ๋ฐœ๊ฒฌ
"๊ฑฐ๋Œ€ ์™ธ๊ณ„์ธ๋“ค์˜ ๋ฌด๋ค ๋ฐœ๊ฒฌ" ๋Ÿฌ ํ”„๋ผ์šฐ๋‹ค ๋ณด๋„์ง€๊ตฌ์— ๋ถˆ์‹œ์ฐฉํ•œ ์™ธ๊ณ„์ธ๋“ค์˜ ์ง‘๋‹จ ๋ฌด๋ค์œผ๋กœ ์ถ”์ •๋˜๋Š” ํ”์ ์ด ์•„ํ”„๋ฆฌ์นด ์ค‘๋ถ€์—์„œ ๋ฐœ๊ฒฌ๋˜์—ˆ๋‹ค๊ณ  24์ผ ์ผ๊ฐ„ ํ”„๋ผ..
์„ธํฌ ๋‚ด ํŠธ๋žœ์Šคํฌ๋จธ ํ•ต์‹ฌ์ธ์ž ์†์† ๋ฐœ๊ฒฌ
  ์„ธํฌ ๋‚ด ํŠธ๋žœ์Šคํฌ๋จธ ํ•ต์‹ฌ์ธ์ž ์†์† ๋ฐœ๊ฒฌ  ํ”ผ๋ถ€์„ธํฌ๋ฅผ ์‹ ๊ฒฝ์„ธํฌ๋กœ ์ง์ ‘ ๋ถ„ํ™”ํ•˜๋Š” ๋ฐ ์„ฑ๊ณตํ•ด ์„ธํฌ ๋‚ด ํŠธ๋žœ์Šคํฌ๋จธ ํ•ต์‹ฌ์ธ์ž ์†์† ๋ฐœ๊ฒฌ ํ”ผ๋ถ€์„ธํฌ๋ฅผ ์‹ ..
๋‹ฌ์˜ ์ˆจ๋ฐ”๊ผญ์งˆ, โ€˜์›”์‹โ€™
  ๋‹ฌ์˜ ์ˆจ๋ฐ”๊ผญ์งˆ, โ€˜์›”์‹โ€™์ง€๊ตฌ ๊ทธ๋ฆผ์ž๊ฐ€ ๋‹ฌ์„ ๊ฐ€๋ฆฌ๋Š” ํ˜„์ƒ โ€˜์›”์‹โ€™๋“œ๋ผ๋งˆ๋‚˜ ์˜ํ™”๋ฅผ ๋ณด๋ฉด ์˜›๋‚  ์‚ฌ๋žŒ๋“ค์ด ๋‹ฌ์ด ์‚ฌ๋ผ์ง€๋Š” ๋ชจ์Šต์„ ๋ณด๊ณ  ๊ฒ์— ์งˆ๋ฆฌ๋Š” ์žฅ๋ฉด..
๊ด‘ํ•ฉ์„ฑ ๋ชจ๋ฐฉํ•ด ์ˆ˜์†Œ์—๋„ˆ์ง€ ์ƒ์‚ฐ
  ์ธ๊ณต๊ด‘ํ•ฉ์„ฑ ๊ฐ€๋Šฅํ•œ ๋‚˜๋…ธ์‹œ์Šคํ…œ ๊ตฌํ˜„ ๋ฌผ์—์„œ ์ˆ˜์†Œ์—๋„ˆ์ง€๋ฅผ ์ƒ์‚ฐํ•œ๋‹ค? ๋…น์ƒ‰์‹๋ฌผ์˜ ๊ด‘ํ•ฉ์„ฑ์„ ๊ทธ๋Œ€๋กœ ๋ชจ๋ฐฉ, ํƒœ์–‘๋น›์œผ๋กœ ๋ฌผ์„ ๋ถ„ํ•ดํ•ด ์ˆ˜์†Œ๋ฅผ ๋Œ€๋Ÿ‰ ์ƒ์‚ฐ..
์•”ํ‘๋ฌผ์งˆ VS ์ˆ˜์ •์ค‘๋ ฅ์ด๋ก  ๋ฒ ์ผ์— ์‹ธ์ธ ์šฐ์ฃผ๋ฅผ ..
  ํ˜„์žฌ ์ธ๋ฅ˜๊ฐ€ ์•Œ๊ณ  ์žˆ๋Š” ์šฐ์ฃผ๋Š” ์–ด๋А ์ •๋„์ผ๊นŒ? ๋ฐ”๋ผ๋งŒ ๋ด๋„ ๋ˆˆ์ด ๋ถ€์‹  ํƒœ์–‘๋ถ€ํ„ฐ ๋ฐคํ•˜๋Š˜์„ ๊ฐ€๋“ ์ฑ„์šฐ๋Š” ์ˆ˜๋งŽ์€ ํ•ญ์„ฑ,  ๊ทธ ์™ธ์— ๋ฌด์ˆ˜ํ•œ ์„ฑ๊ฐ„๋ฌผ์งˆ ๋“ฑ. ..
ํˆฌ๋ช…๋งํ†  ๊ฐ€๋Šฅํ• ๊นŒ, ๋ฉ”ํƒ€๋ฌผ์งˆ์˜ ๋น„๋ฐ€ ํˆฌ๋ช…์žฅ์น˜,..
  ๋‚ด๊ฒŒ ์ดˆ๋Šฅ๋ ฅ์ด ํ•˜๋‚˜ ์ฃผ์–ด์ง„๋‹ค๋ฉด ์–ด๋–ค ๊ฒƒ์„ ์„ ํƒํ•  ๊ฒƒ์ธ๊ฐ€? ๋ฌผ๋ก  ์‰ฝ์ง€ ์•Š์€ ์งˆ๋ฌธ์ด์ง€๋งŒ ๋Œ€๋ถ€๋ถ„์˜ ๊ฒฝ์šฐ ์ผ๋ฐ˜์ ์ธ ๋ช‡ ๊ฐ€์ง€๋กœ ์„ ํƒ์ง€๋Š” ์••์ถ•๋œ๋‹ค. ์‹œ๊ฐ„์„ ..
๋‚ด ๋ชธ ์•ˆ์— ๋‹ค๋ฅธ ์‚ฌ๋žŒ ์˜ํ˜ผ์ด ๋“ค์–ด์˜จ๋‹ค?
 ๋‹ค์ค‘์ธ๊ฒฉ์˜ ์ •์ฒด๋Š” ํ•ด๋ฆฌ์„ฑ ์ •์ฒด์žฅ์•   ์ตœ๊ทผ ์ธ๊ธฐ ๋“œ๋ผ๋งˆ โ€˜์‹œํฌ๋ฆฟ ๊ฐ€๋“ โ€™์ด ๋งŽ์€ ์‚ฌ๋žŒ๋“ค์˜ ๊ด€์‹ฌ ์†์— ๋ง‰์„ ๋‚ด๋ ธ๋‹ค. ๊ทน์ค‘ ๋‚จ๋…€ ์ฃผ์ธ๊ณต์˜ ์˜ํ˜ผ์ด ๋ฐ”..
๋ฒ ํ…”๊ฒŒ์šฐ์Šค ์ดˆ์‹ ์„ฑํญ๋ฐœ, ์ง€๊ตฌ์—” ๋ฌด์Šจ์ผ์ด?
  2๊ฐœ์˜ ํƒœ์–‘, ๋‹ฌ๋ณด๋‹ค ๋ฐ์€ ๋น› ๋ณผ ์ˆ˜ ์žˆ์–ด  โ–ฒ ์˜ค๋ฆฌ์˜จ์ž๋ฆฌ. ์ขŒ์ธก์ƒ๋‹จ(ํ™”์‚ดํ‘œ)์— ์œ„์น˜ํ•œ ๋ถ‰์€ ํ•ญ์„ฑ์ด ๋ฒ ํ…”๊ฒŒ์šฐ์Šค๋‹ค.  ๊ฒจ์šธ์ฒ  ๋ฐคํ•˜๋Š˜์—” ์œ ๋‚œํžˆ ๋ฐ..
๊ฑฐ๋Œ€ ํ•ญ์„ฑ, ๊ณ ๋ฆฝ๋œ ๊ณต๊ฐ„์—์„œ๋„ ํƒ„์ƒ ๊ฐ€๋Šฅ
  ํƒœ์–‘์˜ ์ง€๋ฆ„์€ ์ง€๊ตฌ์˜ ์•ฝ 109๋ฐฐ์ด๋ฉฐ ์งˆ๋Ÿ‰์€ ์•ฝ 33๋งŒ ๋ฐฐ์— ๋‹ฌํ•œ๋‹ค. ์ธ๊ฐ„์œผ๋กœ์จ๋Š” ๊ฐํžˆ ์ƒ์ƒ์กฐ์ฐจ ํž˜๋“  ํฌ๊ธฐ์ž„์— ๋ถ„๋ช…ํ•˜์ง€๋งŒ ์šฐ์ฃผ ์ „์ฒด์ ์œผ๋กœ ๋ณผ ๋•Œ ํƒœ์–‘์€..
์ถฉ๋™์  ๋ฒ”์ฃ„, ์„ธ๋กœํ† ๋‹Œ ๊ฒฐํ• ๋•Œ๋ฌธ?
  ๋‡Œ ๊ธฐ๋Šฅ์— ๊ด€์—ฌํ•˜๋Š” ์„ธ๋กœํ† ๋‹Œ,๊ฒฐํ• ์‹œ ์ •์‹ ์งˆํ™˜ ์ดˆ๋ž˜ ์ตœ๊ทผ ํ•˜๋ฃจ๊ฐ€ ๋ฉ€๋‹ค ํ•˜๊ณ  ๋“ค๋ ค์˜ค๋Š” ์ถฉ๊ฒฉ์ ์ธ ์‚ฌ๊ฑดยท์‚ฌ๊ณ ๋“ค์ด ์•„์นจ๋ถ€ํ„ฐ ๋ˆˆ์‚ด์„ ์ฐŒํ‘ธ๋ ค์ง€๊ฒŒ ํ•œ๋‹ค. ๊ท..
๊ทน๋‹จ์  ์กฐ๊ฑด์— ์ ์‘ํ•˜๋Š” ๋ฏธ์ƒ๋ฌผ์˜ ๋Šฅ๋ ฅ
 ์ง€๋‚œ 3์ผ ๋‚˜์‚ฌ(NASA)์˜ ์šฐ์ฃผ์ƒ๋ช…์ฒด ๊ด€๋ จ ๋ฐœํ‘œ ๋‚ด์šฉ์„ ๋†“๊ณ  ๊ณผํ•™๊ณ„์˜ ๋ฐ˜์‘์ด ์—‡๊ฐˆ๋ฆฌ๊ณ  ์žˆ๋‹ค. ๋ฐœํ‘œ ๋‚ด์šฉ์€ ๋น„์†Œ ์„ฑ๋ถ„์ด ์•„์ฃผ ๋งŽ์€ ์บ˜๋ฆฌํฌ๋‹ˆ์•„ ๋™๋ถ€ โ€˜๋ชจ๋…ธ ํ˜ธ..
์–‘์ž์ โ€™ ์ด์šฉํ•œ ๊ฟˆ์˜ ๋””์Šคํ”Œ๋ ˆ์ด
์š”์ฆ˜ ์šฐ๋ฆฌ ์‚ถ ์†์—” ์–ด๋А ๊ฒƒ ํ•˜๋‚˜ ๋นผ๋†“์„ ์ˆ˜ ์—†์„ ๋งŒํผ ์ค‘์š”ํ•œ ๊ธฐ์ˆ ๋“ค์ด ๋‹ค์–‘ํ•œ ๊ณณ์— ์ ์šฉ๋ผ ์žˆ๋‹ค. ๊ทธ ์ค‘์—์„œ๋„ ๋ฌด์—‡๋ณด๋‹ค ์šฐ๋ฆฌ์—๊ฒŒ โ€˜๋ˆˆ์— ๋„๋Š”โ€™ ํŽธ๋ฆฌํ•จ์„ ์ œ..
์ถ•์ง€๋ฒ•๊ณผ ๊ณต๊ฐ„์ด๋™ ์‹ค์ œ๋กœ ๊ฐ€๋Šฅํ• ๊นŒ?
  ์›์ž๊ทœ๋ชจ ๊ณต๊ฐ„์ด๋™ ๋ฌผ๋ฆฌ์  ๊ฐ€๋Šฅ  โ–ฒ ์œก๊ฐ‘์ฒœ์„œ ๋“ฑ์˜ ๋ฌธํ—Œ์— ์˜ํ•˜๋ฉด ์ถ•์ง€๋ฒ•์„ ํ†ตํ•ด ํ•œ์‹œ๊ฐ„ ๋งŒ์— ์ฒœ๋ฆฌ ๊ธธ์„ ๊ฐˆ์ˆ˜๋„ ์žˆ๋‹ค๊ณ  ํ•œ๋‹ค. ์ด๋Š” ์‹œ์† 400km์— ํ•ด..
์„ธ๊ท ๋„ ๋‹ค๋ฅธ ๋™๋ฌผ์ฒ˜๋Ÿผ ๋ƒ„์ƒˆ ๋งก๋Š”๋‹ค..
  ํ˜„๋ฏธ๊ฒฝ์œผ๋กœ๋งŒ ๋ณผ ์ˆ˜ ์žˆ๋Š” ์ž‘์€ ์„ธ๊ท , ๋ฐ•ํ…Œ๋ฆฌ์•„๋Š” ์ฝ”๊ฐ€ ์—†๋‹ค. ๊ทธ๋Ÿผ์—๋„ ๋ถˆ๊ตฌํ•˜๊ณ  ๋‹ค๋ฅธ ๋™๋ฌผ๋กœ๋ถ€ํ„ฐ ๋ฐœ์‚ฐ๋˜๊ณ  ์žˆ๋Š” ๋ƒ„์ƒˆ๋ฅผ ๋งก๊ณ  ์žˆ๋‹ค๋Š” ์—ฐ๊ตฌ๊ฒฐ๊ณผ๊ฐ€ ๋‚˜์™€ ..
์„ธํฌ์˜ ์šฐ๋‘๋จธ๋ฆฌ, ๋งˆ์Šคํ„ฐ ์œ ์ „์ž
 ๋งˆ์Šคํ„ฐ ์œ ์ „์ž๊ฐ€ ๋‹ค๋ฅธ ์œ ์ „์ž๋“ค์„ ์ด๊ด„ํ•ด  7์›” ์ดˆ ์ธ๊ฐ„์˜ ๋‡Œ ํ˜•์„ฑ์„ ๊ด€์žฅํ•˜๋Š” ๋งˆ์Šคํ„ฐ ์œ ์ „์ž๊ฐ€ ๋ฐœ๊ฒฌ๋˜์—ˆ๋‹ค๋Š” ๊ธฐ์‚ฌ๊ฐ€ ์‹ค๋ ธ๋‹ค. ๋ฏธ๊ตญ๊ณผ ์ค‘๊ตญ์˜ ์—ฐ๊ตฌ์ž๋“ค..
๋‹ญ์ด ๋‹ฌ๊ฑ€๋ณด๋‹ค ๋จผ์ €๋‹ค!
  ๋‹ญ์ด ๋จผ์ €๋ƒ, ๋‹ฌ๊ฑ€์ด ๋จผ์ €๋ƒ?โ€์˜ ๋ฌธ์ œ๋Š” ์ง€๊ธˆ๊นŒ์ง€ ํ’€๋ฆฌ์ง€ ์•Š๋Š” ์ƒ๋ช…์˜ ๋ฏธ์Šคํ„ฐ๋ฆฌ ๊ฐ€์šด๋ฐ ํ•˜๋‚˜๋กœ ๋‚จ์•„ ์žˆ์—ˆ๋‹ค. ๊ทธ๋Ÿฌ๋‚˜ ์ด์™€ ๊ฐ™์€ ํ•ด๋ฌต์€ ๋…ผ์Ÿ์— ๋Œ€ํ•œ..
์˜ค๋ž˜๋œ ์”จ์•—์˜ ๋ถ€ํ™œ
 700์—ฌ๋…„ ์ง€๋‚œ ์—ฐ๊ฝƒ ์”จ์•—์—์„œ ๊ฝƒ ํ”ผ์–ด  ์ง€๋‚œ์ฃผ ๊ธฐ์‚ฌ๋ฅผ ๋ณด๋‹ˆ, ๊ฒฝ๋‚จ ํ•จ์•ˆ๊ตฐ ์„ฑ์‚ฐ์‚ฐ์„ฑ(์‚ฌ์  67ํ˜ธ)์—์„œ ๋ฐœ๊ฒฌ๋œ ์—ฐ๊ฝƒ ์”จ์•—์ด 700์—ฌ๋…„๋งŒ์— ๊ฝƒ์„ ํ”ผ์› ๋‹ค๊ณ  ํ•œ๋‹ค. ..
์ธ๊ฐ„์˜ ๋ชธ์— ํ„ธ์ด ์—†๋Š” ์ด์œ 
์ธ๊ฐ„์˜ ๋ชธ์— ํ„ธ์ด ์—†๋Š” ์ด์œ   ์ง€๋‚œ 6์›” 6์ผ์ž ์—ฌ๋Ÿฌ ์ธํ„ฐ๋„ท ๋‰ด์Šค ์‚ฌ์ดํŠธ์— ํ›„์ง„๊ตญํ˜• ์งˆ๋ณ‘์ด ๋‹ค์‹œ ์œ ํ–‰ํ•˜๊ณ  ์žˆ๋‹ค๋Š” ๊ธฐ์‚ฌ๊ฐ€ ์‹ค๋ ธ๋‹ค. ๊ฒฐํ•ต, ๊ฐ„์—ผ, ๋ณผ๊ฑฐ๋ฆฌ์— ..
์„ธํฌ๋Š” ์™œ ์ž์‚ดํ• ๊นŒ? ์ƒ๋ช… ํ•ญ์ƒ์„ฑ ์œ ์ง€ํ•˜๊ธฐ ์œ„..
ํ•œ๋ฅ˜์Šคํƒ€ ๋ฐ•์šฉํ•˜๊ฐ€ 30์ผ ์ƒˆ๋ฒฝ ์žํƒ์—์„œ ์ˆจ์ง„ ์ฑ„๋กœ ๋ฐœ๊ฒฌ๋ผ ์ถฉ๊ฒฉ์„ ์ฃผ๊ณ  ์žˆ๋‹ค. ์„œ์šธ ๊ฐ•๋‚จ๊ฒฝ์ฐฐ์„œ์˜ ๋ธŒ๋ฆฌํ•‘์— ์˜ํ•˜๋ฉด ์•„๋ฒ„์ง€์˜ ์•”ํˆฌ๋ณ‘, ์—ฐ์˜ˆํ™œ๋™ ๋ฐ ์‚ฌ์—…๊ด€๋ จ ..
์ดˆ์‹๋™๋ฌผ ์‚ฌ๋ผ์ ธ ๋น™ํ•˜๊ธฐ๊ฐ€ ์™”๋‹ค?
  ํƒœ์–‘์—ด์ด ์ง€๊ตฌ ํ‘œ๋ฉด์— ๋„๋‹ฌํ–ˆ๋‹ค๊ฐ€ ์šฐ์ฃผ๋กœ ๋ฐ˜์‚ฌ๋˜์ง€ ๋ชปํ•˜๊ณ  ๋Œ€๊ธฐ๊ถŒ ๋‚ด์— ํก์ˆ˜๋˜๋Š” ํ˜„์ƒ์„ โ€˜์˜จ์‹คํšจ๊ณผโ€™๋ผ ๋ถ€๋ฅธ๋‹ค. ๊ธฐํ›„๋ณ€ํ™”์˜ ๊ฐ€์žฅ ํฐ ์›์ธ์œผ๋กœ ์ง€๋ชฉ..
๊ตญ์‚ฐ ๋ฌผ๊ณ ๊ธฐ ๋กœ๋ด‡์˜ ๋“ฑ์žฅ
  ๋ฌผ๊ณ ๊ธฐ ๋กœ๋ด‡ ๊ด€์ƒยท์• ์™„์šฉ์—์„œ ํƒ์‚ฌ์šฉ์œผ๋กœ ์ง„ํ™” ์ค‘2010๋…„ ์ง€๋‚œํ•ด 9์›” ๋ถ€์‚ฐ ๋ฒก์Šค์ฝ”์—์„œ ์—ด๋ฆฐ โ€˜2009 ๋กœ๋ด‡์›”๋“œ ๋ถ€์‚ฐโ€™์—์„œ ๊ฐ€์žฅ ์ธ๊ธฐ๋ฅผ ๋ˆ ๊ฒƒ์€ ๋ฌผ๊ณ ๊ธฐ ๋กœ๋..
์ „๊ธฐ๋ฐœ๊ด‘ : ํ˜„๋Œ€๊ณผํ•™์ด ๋งŒ๋“  ์ƒˆ๋กœ์šด ๋น› LED
  ๋น›์ด ์—†์œผ๋ฉด ์ด ์„ธ์ƒ์€ ์•”ํ‘ ์„ธ์ƒ์ด ๋  ๋ฟ๋งŒ ์•„๋‹ˆ๋ผ, ์ƒ๋ช…์ฒด๊ฐ€ ์‚ด ์ˆ˜ ์—†๋‹ค. ๋น›์—๋Š” ์—ด ๋ณต์‚ฌ์™€ ๋ฐ˜๋”ง๋ถˆ์ฒ˜๋Ÿผ ์ž์—ฐ์—์„œ ๋‚˜์˜ค๋Š” ๋น›๊ณผ, ํ˜•๊ด‘๋“ฑ์ด๋‚˜ LED์™€ ๊ฐ™์ด ..
์ง€๊ตฌ๋ฐ– ํ–‰์„ฑ์—์„œ๋„ ๋ฐœ๊ฒฌ๋˜๋Š” โ€˜ํ™”์‚ฐโ€™
์ง€๊ตฌ๋ฐ– ํ–‰์„ฑ์—์„œ๋„ ๋ฐœ๊ฒฌ๋˜๋Š” โ€˜ํ™”์‚ฐโ€™   ์—ญ์‚ฌ์ƒ ๊ฐ€์žฅ ์˜ค๋ž˜๋œ ํ™”์‚ฐ ํญ๋ฐœ์€ ๊ธฐ์›์ „ 693๋…„ ์ดํƒˆ๋ฆฌ์•„ ์‹œ์น ๋ฆฌ์•„ ์„ฌ์˜ ์—ํŠธ๋‚˜(Etna) ์‚ฐ์˜ ๋ถ„์ถœ์ด๋‹ค. ์—ํŠธ๋‚˜ ์‚ฐ..
์˜ค์€์„ , ์—ฌ์„ฑ ์ตœ์ดˆ ํžˆ๋ง๋ผ์•ผ 8์ฒœ๋ฏธํ„ฐ 14์ขŒ ์™„๋“ฑ
์˜ค์€์„ , ์—ฌ์„ฑ ์ตœ์ดˆ ํžˆ๋ง๋ผ์•ผ 8์ฒœ๋ฏธํ„ฐ 14์ขŒ ์™„๋“ฑ ์ง€๋‚œ 27์ผ ์˜คํ›„ 6์‹œ, ์‚ฐ์•…์ธ ์˜ค์€์„  ๋Œ€์žฅ์ด 8์ฒœ91๋ฏธํ„ฐ์˜ ํžˆ๋ง๋ผ์•ผ ๊ณ ๋ด‰ ์•ˆ๋‚˜ํ‘ธ๋ฅด๋‚˜ ๋“ฑ์ •์— ์„ฑ๊ณตํ–ˆ๋‹ค. ์—ฌ์„ฑ ์ตœ..
์‹ ๊ฐœ๋… ๋‹น๋‡จ๋ณ‘ ์น˜๋ฃŒ์ œ์˜ ๊ฐ€๋Šฅ์„ฑ ์—ด๋‹ค ํฌ๋„๋‹น ์ƒ..
๊ตญ๋‚ด์—ฐ๊ตฌ์ง„์ด ๊ฐ„์—์„œ ํฌ๋„๋‹น ์ƒ์„ฑ์„ ์กฐ์ ˆํ•˜๋Š” ์ธ์ž์˜ ํ˜ˆ๋‹น์ œ์–ด ํšจ๊ณผ๋ฅผ ์ตœ์ดˆ๋กœ ์ฆ๋ช…ํ•ด ํ™”์ œ๋‹ค. ๊ต์œก๊ณผํ•™๊ธฐ์ˆ ๋ถ€(์žฅ๊ด€ ์•ˆ๋ณ‘๋งŒ)๊ฐ€ 7์ผ ๋ฐํžŒ ๋ฐ”์— ๋”ฐ๋ฅด๋ฉด, ์ตœํฅ์‹ ..
๋ฌด์„œ์šด 10๋Œ€, ๊ณผํ•™์  ๊ทผ๊ฑฐ ์žˆ๋‹ค
 ์ธ์ƒ์—์„œ 14์‚ด์€ ์–ด๋–ค ๋‚˜์ด์ผ๊นŒ?  ์œ„ํ—˜์ด ๋ญ”์ง€ ๋ชจ๋ฅผ ๋‚˜์ด? ์•„๋‹ˆ๋‹ค. ์ •ํ™•ํ•˜๊ฒŒ๋Š” ์•Œ๋ฉด์„œ๋„ ๊ธฐ๊บผ์ด ์œ„ํ—˜์„ ํƒํ•˜๋ ค๊ณ  ํ•˜๋Š” ๋‚˜์ด๋‹ค. ๊ทธ๋ž˜์„œ ๊ฐ€์žฅ ์œ„ํ—˜ํ•œ ๋‚˜..
์šฐ์šธ์ฆ ๋ฐ”์ด๋Ÿฌ์Šคโ€™โ€ฆ ์ž์‚ด ๋ง‰์„ ์ˆ˜ ์—†๋‚˜..
  ์ž์‚ด ์‹œ๋„์ž์˜ 70%๊ฐ€ โ€˜์šฐ์šธ์ฆโ€™   ํ˜ธ์†Œ ๋ฐฐ์šฐ ์ตœ์ง„์˜์ด ๋ˆ„๋‚˜ ๆ•… ์ตœ์ง„์‹ค์— ์ด์–ด ์ž์‚ด๋กœ ์ƒ์„ ๋งˆ๊ฐํ•ด ์ถฉ๊ฒฉ์„ ์ฃผ๊ณ  ์žˆ๋‹ค. ๋ˆ„๋‚˜์˜ ์ž์‚ด๊ณผ ์—ฐ๊ด€๋ผ ๋ณด..
์‹ ๊ฐœ๋… ์ „์ž ๋…ธํŠธ โ€˜e-noteโ€™
๋””์Šคํ”Œ๋ ˆ์ด์ธ๊ฐ€? ์ „์ž์ข…์ด์ธ๊ฐ€? ์–ผ๋ฆฌ์–ด๋‹ตํ„ฐ ๋ ๊นŒ? ์ œํ’ˆ์„ ๋ฐ›์•„ ๋“  ์ˆœ๊ฐ„ ๊ฑฑ์ •๋ถ€ํ„ฐ ๋œ๋‹ค. ํœด๋Œ€ํฐ์—์„œ๋ถ€ํ„ฐ TV, ๊ฒŒ์ž„๊ธฐ, ์ „์ž์ฑ… ๋“ฑ ์ˆ˜๋งŽ์€ ๊ธฐ๊ธฐ๋“ค์ด ..
'์•„๋ฐ”ํƒ€', ์ธํ„ฐ๋„ท์˜ ๋ฌดํ•œํ•œ ์ง„ํ™” ํžŒ๋‘๊ต์™€ ๋ถˆ๊ต..
๋ฒ”์•„์ผ์—ฌ(ๆขตๆˆ‘ไธ€ๅฆ‚)๋ผ๋Š” ๋ง์ด ์žˆ๋‹ค.   ๋ง ๊ทธ๋Œ€๋กœ ๋ฒ”์ด๋ผ๋Š” ์šฐ์ฃผ ๋งŒ๋ฌผ๊ณผ ๋‚˜๋Š” ํ•˜๋‚˜๋ผ๋Š” ๋ง์ด๋‹ค. ์–ด๋–ป๊ฒŒ ๋งŒ๋ฌผ๊ณผ ๋‚˜์™€ ํ•˜๋‚˜๊ฐ€ ๋˜๊ฒ ๋Š”๊ฐ€? ์ธ๋„์˜ ํžŒ๋‘๊ต์™€..
๋™์„ฑ์• ์ž๋„ ์ƒ๋ฌผํ•™์  ์ž์† ์ƒ์‚ฐํ•  ์ˆ˜ ์žˆ์–ด
  ์ธ๊ณต์ •์ž์™€ ๋‚œ์ž๊ธฐ์ˆ  ์–ด๋””๊นŒ์ง€ ์™”๋‚˜? ํฐ ์งˆ๋ฌธ์„ ํ•ด๋ณด์ž. ๊ณผํ•™์ž๋“ค์€ ์‹คํ—˜์‹ค์—์„œ ์ธ๊ฐ„์˜ ์ •์ž์™€ ๋‚œ์ž๋ฅผ ๋งŒ๋“ค์–ด ๋‚ผ ์ˆ˜ ์žˆ์„๊นŒ? ๋˜ ๋งŒ์•ฝ ๋งŒ๋“ค์–ด๋‚ธ๋‹ค๋ฉด ..
ํ™ํ•ฉ์˜ ๋น„๋ฐ€โ€™ ์ด์šฉํ•œ ์ ‘์ฐฉ๋ฌผ์งˆ ๊ฐœ๋ฐœ
  ๊ตญ๋‚ด ์—ฐ๊ตฌํŒ€์ด ์ƒ์ฒด ๋ชจ๋ฐฉ๊ธฐ์ˆ ๋กœ ํ™ํ•ฉ์„ ์ด์šฉํ•œ ์ƒ์ฒด์ ‘์ฐฉ๋ฌผ์งˆ ๊ฐœ๋ฐœ์— ์„ฑ๊ณตํ–ˆ๋‹ค.ํฌ์Šคํ… ์ฐจํ˜•์ค€ ๊ต์ˆ˜ํŒ€์€ ํ™ํ•ฉ์˜ ์ ‘์ฐฉ๋‹จ๋ฐฑ์งˆ์„ ๊ธฐ๋ฐ˜์œผ๋กœ ๊ณ ๋†๋„ ์•ก์ƒ ์ฝœ..
๋ฐ”์ด๋Ÿฌ์Šค๋„ ์„œ๋กœ โ€˜์‚ฌ์ธโ€™ ์ฃผ๊ณ ๋ฐ›์•„..
  ๋ฐ”์ด๋Ÿฌ์Šค(Virus)๊ฐ€ ์„ธํฌ์— ๋“ค์–ด๊ฐ€ ์–ด๋–ป๊ฒŒ ์ž์‹ ์„ ๋ณต์ œํ•˜๊ณ  ์–ด๋–ค ๋ฐฉ์‹์œผ๋กœ ๊ธ‰์†ํžˆ ํ™•์‚ฐ๋˜๋Š”์ง€, ๊ทธ ๋ชจ์Šต์ด ์นด๋ฉ”๋ผ๋ฅผ ํ†ตํ•ด ์„ธ๊ณ„ ์ตœ์ดˆ๋กœ ํฌ์ฐฉ๋๋‹ค. ์Šค์นด์ด๋ฒค..
์‹๋ฌผ๋„ ๋™๋ฌผ์ฒ˜๋Ÿผ โ€˜์—ฌ์„ฑํ˜ธ๋ฅด๋ชฌโ€™ ์žˆ๋‹ค.
  ๋ชจ๋“  ์ƒ๋ฌผ์€ ์ž„์‹ ๊ณผ ๋ถ„๋งŒ์„ ๋˜ํ’€์ด ํ•œ๋‹ค. ์ž„์‹ ๊ณผ ๋ถ„๋งŒ์ด ์•„๋‹ˆ๋ผ๋ฉด ์–ด๋–ค ๋ฐฉ๋ฒ•์œผ๋กœ๋“  ๊ฐ„์— ํ›„์†์„ ๋งŒ๋“ค์–ด ๋‚ด๋Š” ๋ฒˆ์‹์„ ํ•œ๋‹ค. ์ƒ๋ฌผํ•™์ ์œผ๋กœ ๋ณธ๋‹ค๋ฉด ์ž์—ฐ..
์ƒˆ๋กœ ๋ฐํ˜€์ง„ ์šฐ์ฃผ์˜ ๋‚˜์ด๋ฅผ ์•Œ์•„๋ณธ๋‹ค.
๋‚˜์ด๋ฅผ ๋จน๋Š”๋‹ค๋Š” ๊ฒƒ์˜ ๋ฌด์ƒํ•จ.. ์ƒˆ๋กœ ๋ฐํ˜€์ง„ ์šฐ์ฃผ์˜ ๋‚˜์ด๋ฅผ ์•Œ์•„๋ณธ๋‹ค.   ์š”์ฆ˜ ์‚ฌ๋žŒ๋“ค์€ ๋Š™์–ด๊ฐˆ์ˆ˜๋ก ์ž์‹ ์˜ ๋‚˜์ด์— ํ•œ ์‚ด ๋” ๋ณดํƒœ๋Š” ์ผ์— ์ธ์ƒ‰ํ•ด์ง€๊ณค ํ•œ..
์–ผ๊ตด ๊ธฐ์–ต๋ ฅโ€™์€ IQ์™€ ์ƒ๊ด€์—†๋‹ค.
  ์–ผ๊ตด ๊ธฐ์–ต๋ ฅ์€ ์ง€๋Šฅ๊ณผ ๋ฌด๊ด€ํ•˜๊ฒŒ ์œ ์ „๋ผ..   ์‚ฌ๋žŒ๋“ค์„ ๋ณด๋ฉด ์œ ๋‚œํžˆ ์–ผ๊ตด์„ ์ž˜ ๊ธฐ์–ตํ•˜๋Š” ์‚ฌ๋žŒ์ด ์žˆ๋Š”๊ฐ€ ํ•˜๋ฉด, ๋˜ ๊ธฐ์–ต์„ ๋ชปํ•˜๋Š” ์‚ฌ๋žŒ๋„ ์žˆ๋‹ค. ์‚ฌ..
๋šฑ๋šฑํ•˜๋ฉด ์™ธ๊ณ„์ธ์˜ ๋จน์ž‡๊ฐ
  ๋น„๋งŒ์ธ ์‚ฌ๋žŒ์ด ๋ฐ›๋Š” ์„ค์›€์€ ๊ฐ€ํžˆ ๋น„์ฐธํ•  ์ •๋„๋‹ค. ์œก์ฒด์  ์‹ ์ฒด์  ์งˆ๋ณ‘์˜ ํƒ€๊นƒ 1ํ˜ธ๋ผ๋Š” ์ง€์ ์—์„œ๋ถ€ํ„ฐ ๋‹น๋‡จ, ๊ทธ๋ฆฌ๊ณ  ๊ณ ํ˜ˆ์•• ๋“ฑ ์‹ฌํ˜ˆ๊ด€ ์งˆํ™˜์˜ ์ฃผ๋ฒ”์ด๋ผ๋Š” ..
์žƒ์–ด๋ฒ„๋ฆฐ โ€˜์—˜๋„๋ผ๋„โ€™ ์œ ์  ๋ฐœ๊ฒฌ
  ์•„๋งˆ์กด ์œ ์—ญ์—์„œ ๊ธ‰์†๋„๋กœ ํ™•์‚ฐ๋˜๋Š” ์‚ฐ๋ฆผํŒŒ๊ดด๋กœ ์ธํ•ด ์šธ์ฐฝํ•œ ์ˆฒ์— ๊ฐ€๋ ค์ ธ ์žˆ๋˜ ์•„๋งˆ์กด ๊ณ ๋Œ€ ๋ฌธ๋ช…์ด ๋ชจ์Šต์„ ๋“œ๋Ÿฌ๋‚ด ํ™”์ œ๊ฐ€ ๋˜๊ณ  ์žˆ๋‹ค.โ–ฒ ์ตœ๊ทผ ์•„๋งˆ์กด์˜..
ํ”Œ๋ผ์‹œ๋ณด ํšจ๊ณผ
  ํ”Œ๋ผ์‹œ๋ณด ํšจ๊ณผ ๊ณผํ•™์  ๊ทผ๊ฑฐ ์žˆ๋‹ค..   ์‹ค์ œ ํ†ต์ฆ ์™„ํ™”์— ๋„์›€ ์ค˜ ํ”Œ๋ผ์‹œ๋ณด ํšจ๊ณผ๊ฐ€ ๋‚˜ํƒ€๋‚ฌ๋‹ค๊ณ  ๋งํ•œ๋‹ค. ํ”Œ๋ผ์‹œ๋ณด์˜ ์–ด์›์€ ๋งŒ์กฑ์‹œํ‚จ๋‹ค ๋˜๋Š” ์ฆ๊ฒ..
๋‘ ๋ฐ”ํ€ด์˜ ์œ ๋‹ˆ์‚ฌ์ดํด
  ๋ƒ…ํ‚จ ๊ฐ™์€ ๊ณณ์— ์ ๋‹นํžˆ ๊ทธ๋ฆฐ ์Šค์ผ€์น˜๋กœ๋ถ€ํ„ฐ ์‹œ์ž‘๋œ ๋ฐœ๋ช…ํ’ˆ์ด ์™„์„ฑ๋ผ ์ „์‹œ์žฅ์— ๋‚˜๊ฐˆ ๋•Œ๊นŒ์ง€ ์„ค๊ณ„ ๋ณ€๊ฒฝ์„ ๊ฑฐ์น˜๋Š” ๊ฒƒ์€ ํ•„์—ฐ์ ์ด๋‹ค. ์ง€๋‚œ 2008๋…„ ํŒŒํ“ฐ๋Ÿฌ์‚ฌ..
ํฐ๋จธ๋ฆฌ๋Š” ์ŠคํŠธ๋ ˆ์Šค๊ฐ€ ์•„๋‹ˆ๋ผ ์œ ์ „์ž ๋•Œ๋ฌธ
ํฐ๋จธ๋ฆฌ๋Š” ์ŠคํŠธ๋ ˆ์Šค๊ฐ€ ์•„๋‹ˆ๋ผ ์œ ์ „์ž ๋•Œ๋ฌธ   ์ผ๋ž€์„ฑ ์Œ๋‘ฅ์ด์™€ ์ด๋ž€์„ฑ ์Œ๋‘ฅ์ด ์กฐ์‚ฌ์—์„œ ๋‚˜ํƒ€๋‚˜ ..   ์ŠคํŠธ๋ ˆ์Šค๊ฐ€ ๋งŽ์œผ๋ฉด ๊ทธ ์˜ํ–ฅ์œผ๋กœ ๋จธ๋ฆฌ๊ฐ€ ํฌ..
์–ผ์Œ์ด ๋ฏธ๋„๋Ÿฌ์šด ์ด์œ ๋Š”?
์–ผ์Œ์ด ๋ฏธ๋„๋Ÿฌ์šด ์ด์œ ๋Š”, ์–ผ์Œ์˜ ํ‘œ๋ฉด์ด ๋ฌผ๋กœ ๋ฎ์—ฌ์žˆ๊ธฐ ๋•Œ๋ฌธ์ด๋‹ค. ์šฐ์„  ์Šค์ผ€์ดํŒ…์˜ ์กด์žฌ ๊ทผ๊ฑฐ์— ๋Œ€ํ•œ ์งˆ๋ฌธ์„ ํ•ด๋ณด์ž. ์–ผ์Œ์€ ๋ฏธ๋„๋Ÿฝ๋‹ค. ๋งŒ์•ฝ ๋ฏธ๋„๋Ÿฝ์ง€ ์•Š์•˜๋‹ค..
็”ทๅฅณ ์ค‘ ๋ˆ„๊ฐ€ ๋ฒผ๋ฝ์— ๋งž์„ ํ™•๋ฅ ์ด ๋†’์„๊นŒ?
  ์ง€๊ธˆ๊นŒ์ง€์˜ ํ†ต๊ณ„๋ฅผ ๋ณด๋ฉด ๋‹ต์„ ์•Œ ์ˆ˜ ์žˆ๋‹ค. ์ง€๋‚œ 1995๋…„๋ถ€ํ„ฐ 2008๋…„ ์‚ฌ์ด์— ๋ฏธ๊ตญ์—์„œ ๋‚™๋ขฐ๋กœ ์ฃฝ์€ ์‚ฌ๋žŒ์€ ์ด 648๋ช…์ด์—ˆ๋Š”๋ฐ, ๊ทธ ์ค‘ ๋ฌด๋ ค 82%๊ฐ€ ๋‚จ์„ฑ์ด์—ˆ๋‹ค.๋งŽ..
์ธ๊ฐ„ ์‚ฌ์ง„๊ธฐ์™€ ๋””์ง€ํ„ธ ์น˜๋งค '์•„์ด๋ฆฌ์Šค'๋ฅผ ํ†ตํ•ด ..
  KBS 2TV์˜ ๋“œ๋ผ๋งˆ โ€˜์•„์ด๋ฆฌ์Šคโ€™๋Š” 200์–ต์›์ด๋ผ๋Š” ์—„์ฒญ๋‚œ ์ œ์ž‘๋น„์™€ ์ดˆํ˜ธํ™” ์บ์ŠคํŒ…์œผ๋กœ ๋ฐฉ์†ก ์ „๋ถ€ํ„ฐ ์ด๋ฏธ ํ™”์ œ๋ฅผ ๋ถˆ๋Ÿฌ ๋ชจ์•˜๋‹ค. 14์ผ ์ฒซ ์ „ํŒŒ๋ฅผ ํƒ„ ์•„์ด๋ฆฌ์Šค ..
์•„์นด์‹œ์•„ ์žŽ ๋จน๋Š” ์ดˆ์‹ ๊ฑฐ๋ฏธ ๋ฐœ๊ฒฌ.
  ๋ถˆ๊ณผ 50์—ฌ ๋…„ ์ „ ๋ฏธ๊ตญ ์›Œ์‹ฑํ„ด ํžˆ๋“ ๋ฐธ๋ฆฌ ๋ชฉ์žฅ์—์„œ ์ฑ„์‹ํ•˜๋Š” ํ‰ํ™”์ฃผ์˜ ์‚ฌ์ž ์‚ฌ๋žŒ์„ ๋†€๋ผ๊ฒŒ ํ–ˆ์—ˆ๋‹ค. <์ฑ„์‹ํ•˜๋Š” ์‚ฌ์ž ๋ฆฌํ‹€ํƒ€์ดํฌ>๋ผ๋Š” ์ฑ…์œผ๋กœ ํ•œ๊ตญ์—๋„..
์ƒˆ ๊ฐ™์ง€ ์•Š์•˜๋˜ ์ตœ์ดˆ์˜ ์ƒˆ ์„ฑ์กฐ ๋˜๊ธฐ๊นŒ์ง€ 970์—ฌ..
    15์–ต ๋…„ ์ „ ์‚ด์•˜๋˜ ์ตœ์ดˆ์˜ ์ƒˆ๋ผ๊ณ  ์—ฌ๊ฒจ์ง€๋Š” ๊นƒํ„ธ ๋‹ฌ๋ฆฐ ์ง์Šน์€ ์‚ฌ์‹ค ๋А๋ฆฟ๋А๋ฆฟํ•œ ๊ณต๋ฃก์„ ๋‹ฎ์•˜๋˜ ๊ฒƒ์œผ๋กœ ๋ฐํ˜€์กŒ๋‹ค. ๋ผ์ด๋ธŒ์‚ฌ์ด์–ธ์Šค ์ง€๊ฐ€ 8์ผ ๋ณด๋„..
DNA ๋ง๋‹จ ๋ณต์ œ์˜ ํ•œ๊ณ„์™€ ๊ทน๋ณต
์ง€๋‚œ 5์ผ์—๋Š” ๋…ธ๋ฒจ ์ƒ๋ฆฌ์˜ํ•™์ƒ, 7์ผ์—๋Š” ๋…ธ๋ฒจ ํ™”ํ•™์ƒ์˜ ์ˆ˜์ƒ์ž๊ฐ€ ์ž‡๋”ฐ๋ผ ๋ฐœํ‘œ๋๋‹ค. ์˜ฌํ•ด์˜ ๋…ธ๋ฒจ์ƒ์ด ์ฃผ๋ชฉํ•œ ๋ถ€๋ถ„์€ ์„ผํŠธ๋Ÿด ๋„๊ทธ๋งˆ(Central Dogma)๋ฅผ ์ค‘์‹ฌ์œผ๋กœ ๋ฐœ์ „..
๋น„๋งŒ ์œ ๋ฐœ ํ•ต์‹ฌ์œ ์ „์ž ๋ฐœ๊ฒฌ
ํŠน์ • ์œ ์ „์ž์˜ ํ™œ๋™์„ ์ฐจ๋‹จํ•˜๋ฉด ์•„๋ฌด๋ฆฌ ๋จน์–ด๋„ ์‚ด์ด ์ฐŒ์ง€ ์•Š๊ณ  ์„ฑ์ธ๋ณ‘๋„ ๊ฑธ๋ฆฌ์ง€ ์•Š๋Š”๋‹ค๋Š” ์‚ฌ์‹ค์ด ๋ฐํ˜€์กŒ๋‹ค๊ณ  AFPํ†ต์‹  ๋“ฑ์ด ๋ณด๋„ํ–ˆ์Šต๋‹ˆ๋‹ค. ๋ฏธ๊ตญ ๋ฏธ์‹œ๊ฐ„ ๋Œ€ํ•™ ์ƒ..
ํ›Œ๋ฅญํ•œ ๋ฐฐ์šฐ์ž, ๊ฝƒ๋ฏธ๋‚จ์€ ํ”ผํ•ด๋ผ..
  ๋ชป ์ƒ๊ฒจ๋„ ์„ฑ์‹คํ•œ ๋‚จ์ž๊ฐ€ ์ œ์ผ ์ข‹์€ ๋‚จํŽธ๊ฐ์ด๋ž€ ์—ฐ๊ตฌ ๊ฒฐ๊ณผ๊ฐ€ ๋‚˜์™”๋‹ค. ๊ทธ๋ ‡๋‹ค๋ฉด ์ž˜ ์ƒ๊ธฐ๋ฉด์„œ๋„ ์„ฑ์‹คํ•œ ๋‚จ์ž๋Š” ์—†์„๊นŒ? ์™œ ์ข‹์€ ์ƒ๊ฐ์„ ํ•˜์ง€ ์•Š๊ณ  ๊ตณ์ด ..
๊ทน์ด ํ•˜๋‚˜๋ฟ์ธ ์ž์„์€ ์กด์žฌํ• ๊นŒ?
  ์ž์„์€ ํ•ญ์ƒ ์–ด๋ฆฐ์•„์ด๋“ค์˜ ์ธ๊ธฐ ์žฅ๋‚œ๊ฐ์ด๋‹ค. ์ž์„์€ ์„œ๋กœ ๊ฐ€๊นŒ์ด ๊ฐ€์ ธ๊ฐ€๋ฉด ์–ด๋–จ ๋•Œ๋Š” ์„œ๋กœ ๋ถ™์œผ๋ ค ํ•˜๋Š”๊ฐ€ ํ•˜๋ฉด ์–ด๋–จ ๋•Œ๋Š” ์„œ๋กœ ๋ฐ€์ณ๋‚ด๊ธฐ ๋ฐ”์˜๋‹ˆ ์•„..
๋‚˜๋…ธํญํƒ„์œผ๋กœ ์•” ์„ธํฌ ์ฃฝ์ธ๋‹ค ์ดˆ๋ฏธ๋‹ˆ ์นด๋ฉ”๋ผ ๋ถ€..
 โ–ฒ ํฌ์Šคํ… ๊น€๊ธฐ๋ฌธ ๊ต์ˆ˜ํŒ€์ด ๊ฐœ๋ฐœํ•œ ๊ฐ•๋ ฅํ•œ ๋ถ„์ž ๊ฒฐํ•ฉ์ฒด  ์œตํ•ฉ๊ธฐ์ˆ  ํ˜„์žฅ ๋‚˜๋…ธ๊ธฐ์ˆ ์ด๋ž€ ์ „๊ธฐ์ , ๊ธฐ๊ณ„์ , ์ƒ๋ฌผํ•™์ , ํ™”ํ•™์ , ๊ณ„์‚ฐ์  ๊ธฐ๋Šฅ์„ ์ˆ˜ํ–‰ํ•  ์ˆ˜ ์žˆ..
์ง€๊ตฌ๊ฐ€ ํƒœ์–‘์œผ๋กœ๋ถ€ํ„ฐ ์ ์  ๋ฉ€์–ด์ง€๊ณ  ์žˆ๋‹ค
  ์ง€๊ตฌ๊ฐ€ ํƒœ์–‘์œผ๋กœ๋ถ€ํ„ฐ ์ ์  ๋ฉ€์–ด์ง€๊ณ  ์žˆ๋‹ค๋Š” ์—ฐ๊ตฌ๊ฒฐ๊ณผ๋“ค์ด ์†์† ๋“œ๋Ÿฌ๋‚˜ ๋น„์ƒํ•œ ๊ด€์‹ฌ์ด ์ ๋ฆฌ๊ณ  ์žˆ๋‹ค.  ์„œ๋กœ ๋ฉ€์–ด์ง€๋Š” ์†๋„ ์ž์ฒด๋Š” ๊ทธ๋ฆฌ ๋†’์ง€ ์•Š..
์ฒซ๋ˆˆโ€™์— ๋ฐ˜ํ•˜๋Š” ๊ฑด ์œ ์ „์ž ๋•Œ๋ฌธ ์œ ์ „์ ์œผ๋กœ ์ ..
โ–ฒ ์—ฌ์„ฑ์ด ๋‚จ์„ฑ์—๊ฒŒ ์ฒซ๋ˆˆ์— ๋ฐ˜ํ•˜๋Š” ๊ฒƒ์€ ์˜ค๋žœ ์ง„ํ™”์— ๊ฑธ์นœ ์œ ์ „์  ์š”์ธ์ด๋ผ๋Š” ๊ฒฐ๊ณผ๊ฐ€ ๋‚˜์™”๋‹ค.  ์ฒซ๋ˆˆ์— ์‚ฌ๋ž‘์— ๋น ์ง„๋‹ค๋ฉด, ์—ฌ์„ฑ์€ ์–ด๋–ค ๋‚จ์ž์—๊ฒŒ ๋Œ๋ฆด๊นŒ? ํ‘..